Search Dental Tribune

La atención odontológica del paciente con cáncer (1)

El tratamiento dental de los pacientes que sufren de cáncer depende del estado de su salud oral, que puede ser deficiente, como en el caso del paciente bajo tratamiento con tamoxifeno (1), en estado de salud oral aceptable, como en el paciente siendo tratado con el mismo medicamento (2) o en buen estado de salud oral, en el caso de un paciente con cáncer de colón (3).
Sánchez, Serrera, Torres, Gutiérrez, Machuca

Sánchez, Serrera, Torres, Gutiérrez, Machuca

mié. 23 agosto 2023

guardar

El aumento de la prevalencia del cáncer a nivel mundial plantea un importante desafío clínico para el tratamiento odontológico de pacientes afectados por esta enfermedad. Este artículo, escrito por un equipo de expertos, ofrece indicaciones que los profesionales de la odontología deben tener en cuenta a la hora de tratar a pacientes que sufran de cáncer.

Primer artículo

EDICION ESPECIAL SOBRE CANCER Y ODONTOLOGIA

El tratamiento del cáncer se aborda habitualmente a través de la triada clásica de cirugía, radioterapia y quimioterapia.

La quimioterapia tiene efectos amplios que afectan a todo el organismo, reflejándose también en la cavidad oral. Cuando hablamos de quimioterapia antineoplásica, nos referimos al uso de productos químicos para el tratamiento del cáncer. Estos fármacos buscan afectar la vitalidad de la célula cancerosa y evitar su proliferación, muchas veces aprovechándose de las alteraciones en el desarrollo celular que acompañan a la mayoría de los cánceres. El principal problema de este tipo de tratamiento es que en muchas ocasiones no podemos seleccionar exactamente hacia qué tipo de células van a dirigir su actuación, que son fundamentalmente aquellas con un ciclo de reproducción acelerado.

De hecho, los fármacos utilizados como quimioterápicos antineoplásicos se pueden clasificar en base a la fase del ciclo de reproducción celular en el que actúan. Algunos actúan sobre todas las fases del ciclo celular, como son los alquilantes, los antibióticos antitumorales, el cisplatino, la procarbazina y la mitoxantrona, mientras que otros son específicos de la fase S (antimetabolitos epipodofilotoxinas o hidroxiureas), de la fase G2 (epipodofilotoxinas) o de la fase M (alcaloides de la vinca).

El tratamiento de soporte de pacientes con cáncer se basa en tres pilares: cuidado oral, cuidado paliativo con manejo del dolor y control de placa.

Dado que estos fármacos actúan sobre el ciclo de reproducción celular, aquellos tipos celulares que tengan un ciclo reproductivo más activo se verán más afectados. Los ejemplos más típicos son la médula ósea, el cabello o el epitelio oral. Por tanto, la afectación de la mucosa oral es frecuente en pacientes que reciben este tipo de tratamiento. Dado que la incidencia del cáncer ha aumentado en los últimos años, así como el desarrollo de nuevos tratamientos quimioterápicos, es razonable pensar que los dentistas vamos a ver y tratar cada vez de forma más frecuente pacientes con estas características.

Para tratar correctamente a estos pacientes tendremos que hacer una exhaustiva historia clínica, como es preceptivo en cualquier tratamiento médico u odontológico. El objetivo es conocer, entre otros datos, los fármacos que ha tomado o está tomando el paciente, así como el régimen que se le está prescribiendo, lo cual es un aspecto crítico para adaptar nuestro tratamiento al paciente odontológico.

Por lo tanto, es fundamental conocer los fármacos utilizados en quimioterapia así como sus efectos. A continuación vamos a describir estos dos apartados para después abordar las consideraciones odontológicas en el tratamiento de los pacientes con cáncer.

Fármacos

Los antineoplásicos más utilizados son los agentes alquilantes, los antimetabolitos, las sustancias naturales y otros tipos de fármacos.

Los agentes alquilantes actúan formando enlaces con distintas bases del ADN, lo cual da origen a errores de codificación del ADN y roturas de las cadenas; de esta manera, se imposibilita que las células se puedan replicar y se dañan también sus funciones vitales. Su acción es independiente de las fases del ciclo celular e incluso pueden actuar en la fase de reposo (G0), aunque su acción es más eficaz si los tejidos están en un ritmo de replicación alto.

Los grupos más usados dentro de los agentes alquilantes son las mostazas nitrogenadas, como la mecloretamina o la ciclofosfamina, las etileniminas, como la tiotepa, los alquilsulfonatos, las nitrosoureas y los triacenos.

El siguiente grupo de fármacos es el de los antimetabolitos. Son sustancias que actúan en la fase S del ciclo de reproducción celular y dentro de este grupo hay varios subgrupos. Los análogos del ácido fólico, como el metotrexato (que inhibe la difolato reductasa, un cofactor esencial en el metabolismo asociado al ADN), tienen varias ventajas. Por ejemplo, la administración de ácido folínico salva el bloqueo en las células normales y afecta preferentemente a las células neoplásicas, aunque produce mucositis muy importantes.

Otro grupo son los análogos de las pirimidinas, entre los que se encuentra el 5-fluoruracilo, que se incorpora al ARN, interfiriendo su función. También impide la duplicación del ADN y da origen a mucositis muy severas.

Un tercer subgrupo de los antimetabolitos son los análogos de las purinas, como la 6-mercaptopurina o la 6-tioguanidas. El último grupo dentro de los antimetabolitos son los inhibidores de la adenosina desaminasa, que provocan el acúmulo de la deoxiadenosina trifosfato, que inhibe la síntesis de ADN.

La mucositis es la lesión bucal más frecuente tras usar quimioterapia.

Un tercer grupo de fármacos antineoplásicos son las sustancias naturales, entre las cuales podemos encontrar los antibióticos antitumorales, que van a actuar en todas las fases del ciclo celular y siempre producen mucositis. En este grupo está la actinomicina-D, los antibióticos antraciclínicos, como la doxorrubicina (que se intercala en la doble espiral de ADN, interfiriendo su replicación), la bleomicina (que actúa rompiendo la espiral de ADN, pero también inhibiendo la síntesis de ARN y proteínas), la mitramicina o la mitomicina.

Otro grupo dentro de las sustancias naturales son los alcaloides de la vinca, que actúan específicamente en la fase M, bloqueando la mitosis en metafase al evitar la polimerización de los microtúbulos al ligarse a la tubulina. Dentro de las sustancias naturales están también las epipodofilotoxinas (siendo la más utilizada la etopósido) o las enzimas (como la L-asparaginasa).

Otros fármacos utilizados son el cisplatino y sus análogos (que actúan una vez que son metabolizados como agentes alquilantes y que por tanto su acción es independiente del ciclo celular), la procarbazina, las hidroxiureas o la mitoxantrona.

Acciones

La quimioterapia antineoplásica puede afectar a la cavidad oral mediante acción tóxica directa o mediante acción tóxica indirecta.

La acción tóxica directa se debe a la actuación indiscriminada de estas sustancias sobre el ciclo de reproducción celular. Esto da origen a una falta de regeneración de las células en los tejidos que tienen un alto grado de recambio, de tal manera que afecta a la función de los epitelios principalmente. También se afecta por este mecanismo las células de las glándulas salivales, entre otros sistemas.

La acción tóxica indirecta es secundaria a los fenómenos de mielosupresión que aparecen en pacientes tratados con quimioterapia y está relacionada con la dosis y con el fármaco utilizado. También se ha relacionado con el consumo de alcohol, tabaco y deficiente higiene oral.

Consideraciones odontológicas

Las complicaciones orales más frecuentes en este tipo de pacientes son las siguientes: mucositis, xerostomía, infecciones y diátesis hemorrágicas.

La mucositis es la lesión bucal más frecuente tras usar quimioterapia. Aparece en un 15% de los casos, aproximadamente, y las manifestaciones clínicas pueden variar desde un eritema (Grado 1 según los criterios de la OMS) hasta úlceras muy extensas que imposibilitan la deglución (Grado 4 de la clasificación de la OMS). Los fármacos que provocan mayor aparición de mucositis son el metrotexato y el 5 fluorouracilo. La mucositis por quimioterapia suele aparecer entre el tercer y el séptimo día tras la administración del tratamiento y, a partir de ahí, el epitelio intenta regenerarse, aunque existen factores traumáticos e infecciosos que dificultan el cierre y la cicatrización, que se suele llevar a cabo durante los 10 a 14 días posteriores.

El uso de láser de baja potencia en bioestimulación ha arrojado resultados positivos en la prevención y el tratamiento de la mucositis y pensamos que es la primera opción de tratamiento en pacientes con cáncer.

Son varios los tratamientos descritos para disminuir la aparición o la intensidad de la mucositis: el uso de enjuagues con ácido folínico al 10% o la crioterapia con hilo triturado o agua muy fría se basan en que la vasoconstricción producida por el frío hace que llegue menos agente quimioterápico a la mucosa oral. Otro fármaco utilizado es el palifermín, que reduce la severidad y duración de mucositis, aunque algunos critican su utilización por ser arriesgado.

El uso de láser de baja potencia en bioestimulación también ha arrojado resultados positivos tanto en la prevención como en el tratamiento de la mucositis y pensamos que es la primera opción de tratamiento, puesto que su acción es local, sin interacciones con otros fármacos y es bien tolerado por el paciente (ver artículo de Antoni España sobre la bioestimulación con láser).

La xerostomía es un problema poco frecuente en los tratamientos de quimioterapia. Sobre todo, aparece ligada al uso de la adriamicina y suele ser transitoria y reversible, una vez que el tratamiento cesa. Es una xerostomía distinta, por tanto, a la que se produce por radioterapia, en la cual se afecta de forma mucho más seria y a veces irreversible el tejido glandular. La xerostomía inducida por tratamientos quimioterápicos suele venir acompañada por sensación de gusto metálico y disgeusias profundas.

Es fundamental que los tratamientos dentales se realicen solo si la tasa de plaquetas es mayor de 70000.

Otro capítulo dentro de las complicaciones son las infecciones. Los pacientes con quimioterapia presentan una neutropenia a la semana de comenzar el ciclo. Esto, junto que a veces la barrera epitelial está rota (y si se le añade una higiene bucal deficiente), hace que el riesgo de infección sea muy importante en este tipo de pacientes. Existen estudios que indican que el 25% de todas las infecciones en pacientes con leucemia y quimioterapia tienen su origen en una enfermedad periodontal previa (ver artículo sobre el papel de la enfermedad periodontal en las infecciones de estos pacientes??? Pedido a SEPA).

También son frecuentes las infecciones o reactivación wde infecciones orofaciales por virus de herpes y las infecciones micóticas casi siempre se deben a candida albicans (en estos casos, hay muchas posibilidades de que esta candidiasis acabe siendo sistémica). En ese tipo de pacientes es importante valorar el estado de la función mieloide, ya que en casos de granulocitopenias menores de 500 leucocitos por milímetro cúbico, existe una disminución de los fenómenos inflamatorios de respuesta del organismo frente a la infección, lo cual debe hacernos estar alertas para no realizar agresiones a la mucosa oral que puedan dar lugar a infecciones o cuadros sistémicos.

Un cuarto punto son las hemorragias, que se deben sobre todo a las alteraciones plaquetarias secundarias a una mielodepresión. Clínicamente, se van a ver petequias, hematomas o hemorragias difusas. Ya sabemos que con menos de 70000 plaquetas se contraindica la realización de tratamiento dentales, ya que pueden dar lugar a hemorragias orales que si se asocian a otros factores pueden dar lugar a hemorragias graves. Por debajo de 20000 plaquetas existen hemorragias espontáneas a nivel gingival, más frecuentes en aquellos pacientes con enfermedad periodontal previa.

Por tanto, es fundamental que los tratamientos dentales se realicen solo si la tasa de plaquetas es mayor a las 70000 y también vigilar que la tasa de leucocitos esté por encima de 1000. Los tratamientos urgentes se pueden realizar por debajo de estas cifras, pero con cobertura antibiótica o con transfusión de plaquetas frescas si fuera necesario, y siempre en estrecha coordinación con el oncohematólogo.

Los tratamientos higiénicos (cepillado y seda dental) deben mantenerse, aunque hay autores que hablan de suspender el cepillado cuando el nivel de las plaquetas sea inferior a 5000. En estas situaciones puede ser útil el uso de cepillados ultrasuaves o quirúrgicos junto con clorhexidina.

Más allá de estas consideraciones, en pacientes con cáncer el tratamiento dental debe ir enfocado a mantener su salud oral y debe individualizarse dicho tratamiento. Los pacientes oncológicos necesitan citas más frecuentes que la población general.

El tratamiento de soporte de este tipo de pacientes se basa en tres pilares: cuidado oral, cuidado paliativo con manejo del dolor y control de placa. Podemos distinguir el tratamiento que debemos realizar según tres momentos: si el paciente llega antes de ser sometido a tratamiento oncológico, si está en tratamiento o si ya ha sido sometido a tratamiento.

En la primera situación, se debe de hacer una historia clínica exhaustiva, una correcta exploración oral y radiografías (aletas de mordida, periapicales y panorámicas). Tendremos un tiempo de 15-21 días antes del inicio del tratamiento oncoterápico, en el cual se deben realizar las exodoncias simples, siempre dejando 15 días al inicio de la terapia (si las exodoncias son complejas, éstas deben de realizarse al menos 21 días antes).

Según su estado oral, el paciente se puede clasificarse de cuatro formas:

  1. a) Desdentado.
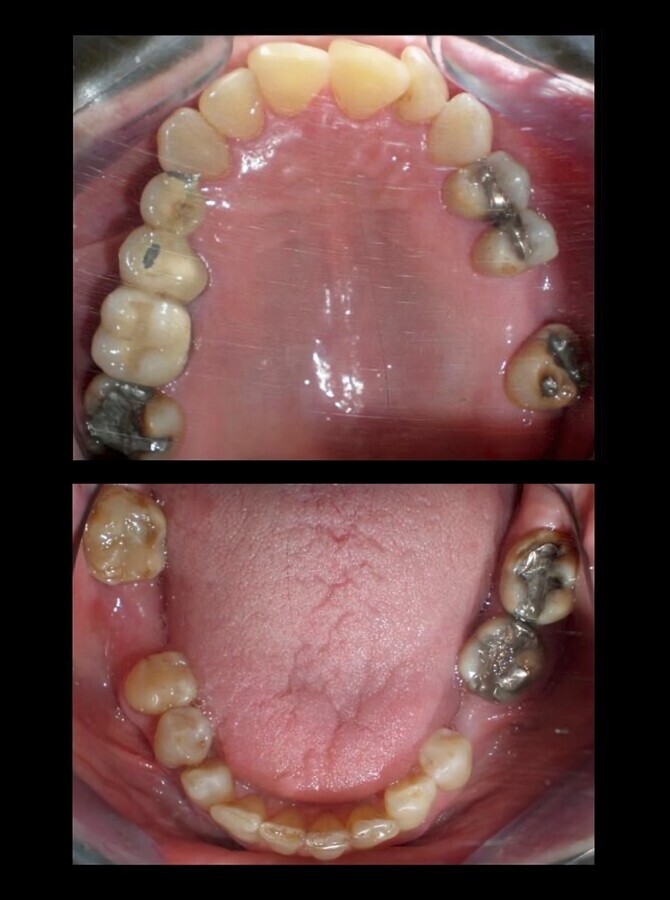
  2. b) Mal estado bucal (higiene pobre, enfermedad periodontal grave, y más de 20 caries) (Figura 1).

Figura 1. Paciente de 60 años, en mal estado de salud oral, y en tratamiento con tamoxifeno. En estos pacientes puede ser aconsejable realizar una edentación total.

  1. c) Estado bucal regular (no enfermedad periodontal grave, menos de 20 caries e higiene regular) (Figura 2).

Figura 2. Paciente de 66 años de edad, en estado de salud oral aceptable, y en tratamiento con tamoxifeno. Se debe concienciar al paciente sobre higiene oral, hacer aplicación de flúor y tratamiento conservador de aquellos dientes que puedan ser restaurables.

  1. d) Estado bucal bueno (Figura 3) (no enfermedad periodontal, caries casi ausentes y buena higiene).

Figura 3. Paciente de 65 años de edad, en buen estado de salud oral, con antecedentes de cáncer de colón tratado a los 61 años. Se debe concienciar al paciente sobre higiene oral, hacer aplicación de flúor y tratamiento conservador de aquellos dientes que puedan ser restaurables, cirugía preprotésica y periodontal, eliminar prótesis metálicas si se va a recibir radioterapia.

En pacientes con mal estado bucal procede realizar una edentación total. Si tiene un estado bucodental aceptable o bueno se debe concienciar al paciente sobre higiene oral, hacer aplicación de flúor, tratamiento conservador de aquellos dientes que puedan ser restaurables, cirugía preprotésica y periodontal, eliminar prótesis metálicas si se va a recibir radioterapia y toma de impresiones y fabricación de modelos de estudio por si hiciera falta más adelante.

Los pacientes oncológicos necesitan citas más frecuentes que la población general.

Durante la oncoterapia debemos mantener una higiene exquisita, aplicar flúor en sus distintas formas de aplicación, usar colutorios antisépticos y evitar irritantes mecánicos, físicos y químicos. También debemos seguir una dieta poco cariogénica, tratar la mucositis de las distintas maneras que hemos señalado anteriormente, utilizar protectores para glándulas salivales y hueso mandibular en el caso de la radioterapia, así como tomar vitamina C y antioxidantes. No se deben realizar extracciones dentarias.

Después del tratamiento oncoterápico, se seguirá haciendo a una aplicación de flúor tópico mensualmente durante un año, así como tartrectomías cuando sea preciso. Se deben evitar las prótesis mal adaptadas y reajustar las antiguas con acondicionador de tejidos blandos cambiándolo cada mes hasta un año tras el tratamiento. No utilizar ni hacer prótesis completas ni removibles nuevas en un año.

__________________________________________________________________________________________________________________

Ver "Fotobiomodulación para el tratamiento de la mucositis producida por quimio o radioterapia"

__________________________________________________________________________________________________________________

Conclusión

Se pueden usar AINEs (antiinflamatorios no esteroideos) y corticoides para el tratamiento de las inflamaciones en pacientes con cáncer. Para tratar la xerostomía se debe utilizar sialogogos y seguir con el tratamiento de la mucositis y disgeusias que se detecten. Se deben tratar las caries que se detecten y aplicar mensualmente barnices de clorhexidina.

Es útil hacer mecanoterapia para la prevención y tratamiento del trismo dental y no realizar extracciones durante un año como mínimo (y si es imprescindible, siempre con cobertura antibiótica). Las revisiones dentales se deben realizar con periodicidad mensual los primeros meses; trimestrales desde el séptimo mes hasta los dos años y a partir del tercer año, con una periodicidad semestral.

• Descargar la "Guía de Práctica Clínica de Atención odontológica al paciente con cáncer oral".

__________________________________________________________________________________________________________________

Autores

  1. Laura Luis Sánchez es alumna de Doctorado, Facultad de Odontología, Universidad de Sevilla.
  2. María-Angeles Serrera Figallo es Profesora Titular de Odontología en Paciente Especiales, Medicina Bucal y Cirugía Bucal, Facultad de Odontología, Universidad de Sevilla.
  3. Daniel Torres Lagares es Catedrático de Cirugía Bucal, Facultad de Odontología, Universidad de Sevilla.
  4. José Luis Gutiérrez Pérez es Catedrático Vinculado de Cirugía Bucal, Facultad de Odontología, Universidad de Sevilla.
  5. Guillermo Machuca-Portillo es Catedrático de Odontología en Paciente Especiales, Facultad de Odontología, Universidad de Sevilla.

__________________________________________________________________________________________________________________

Bibliografía

Machuca G, Bullon P, Castellanos L. Tratamiento odontológico en pacientes frágiles y con necesidades especiales. Ed. Laboratorios Normon. Madrid, 2023.

Referencia

• Sociedad Española de Cirugía Bucal

 

Artículos relacionados

• La atención odontológica del paciente con cáncer (1)
• Fotobiomodulación para la mucositis producida por quimio o radioterapia (2)
• Guía Clínica para la atención del paciente con cáncer oral (3)
• Guía Clínica para la atención del paciente con cáncer oral (4)
• La detección precoz del cáncer oral en la consulta (5)
• Congreso SECIB Córdoba 2023: inscríbase y disfrute de clínica y cultura
• El dentista en el tratamiento del cáncer de cabeza y cuello

 

 

Ver Edición sobre Cáncer Oral de Dental Tribune España

To post a reply please login or register
advertisement
advertisement