Search Dental Tribune

La xerostomía causada por medicamentos

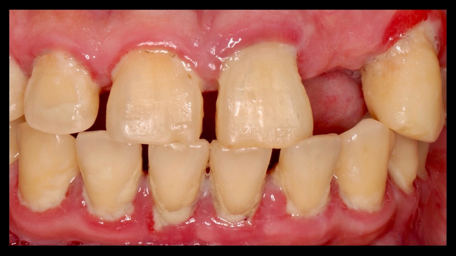
Estado de la dentadura de un paciente bajo tratamiento crónico con fluoxetina y afectado también por xerostomía.
Iván Herrera Ustariz

Iván Herrera Ustariz

jue. 11 abril 2024

guardar

La xerostomía es la sensación de sequedad bucal que se produce cuando las glándulas salivales no producen suficiente saliva[1] para mantener la boca húmeda. Las causas de la xerostomía son diversas e incluyen factores como la ingesta crónica de ciertos medicamentos, tratamientos de radioterapia de cabeza y cuello, enfermedades autoinmunes como el síndrome de Sjögren, diabetes, estrés y ansiedad, entre otros.

La disfunción de las glándulas salivares inducida por medicamentos (MISDG) es una reacción adversa frecuente asociada con distintos tipos de medicación; estos fármacos afectan la cantidad y la calidad de la saliva que se produce, lo que constituye una afección que incide seriamente en la salud bucodental y la calidad de vida del individuo.

La hiposalivación o reducción de la tasa de flujo salival inducida por medicamentos aumenta el riesgo de varias enfermedades bucales, incluyendo caries dentales, especialmente en lugares atípicos (alto riesgo de caries radiculares e incisales), mayor riesgo de candidiasis, mal aliento, ardor en la boca, trastornos del gusto y dificultades en la masticación, habla y deglución[2].

El sistema de Clasificación Anatómico Terapéutico Químico (ATC) de medicamentos desarrollado por la Organización Mundial de la Salud (OMS) agrupa los fármacos en categorías según su propósito terapéutico, su anatomía, su modo de acción y su estructura química. Para el médico y el odontólogo, es fundamental comprender qué medicamentos causan disfunción de las glándulas salivales y xerostomía de acuerdo con el sistema ATC. Hasta el momento, se han identificado 56 medicamentos con evidencia sólida de interferir en la función de las glándulas salivares[3].

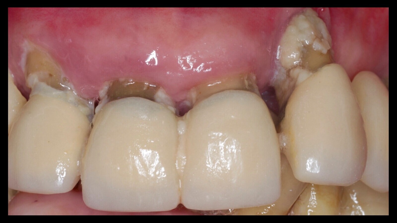
Caries radicular y xerostomía en un paciente que toma carbidopa-levodopa para el tratamiento del Parkinson.

La mayoría de los medicamentos asociados con la disfunción de las glándulas salivares pertenecen a la categoría principal del sistema nervioso en el ATC. Según la literatura médica, algunos de los medicamentos más citados con efecto en el sistema nervioso incluyen: tolterodina, duloxetina, quetiapina, bupropión, olanzapina, clozapina, fluoxetina, paroxetina y sertralina, venlafaxina. Además, se han observado efectos similares en la función de las glándulas salivares con fármacos urológicos como la oxibutinina, tolterodina y solifenacina.

También se ha informado una reducción en la tasa de flujo salival en casos relacionados con diversos medicamentos, entre los que se incluyen: alendronato (antiresortivo), bendroflumetiazida (diurético tiazídico), clonidina (antihipertensivo), furosemida (diurético). Además, medicamentos como opioides (codeína, tramadol), antihistamínicos (cetirizina), antieméticos (droperidol, domperidona), antiparkinsonianos, ansiolíticos (alprazolam, diazepam), antiespasmódicos (diciclomina) y relajantes musculares (tizanidina) también pueden influir en la función de las glándulas salivares, lo que podría resultar en una reducción del flujo salival.

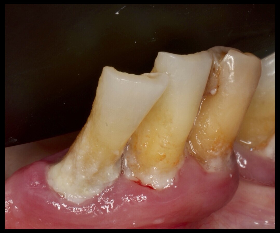
Paciente con xerostomía que toma quetiapina y alprazolam de manera crónica.

Los medicamentos pueden afectar tanto al sistema nervioso central como a la unión neuroglandular, lo que explica la patogenia de la MISDG. Las células secretoras están equipadas con receptores muscarínicos M1 y M3, receptores adrenérgicos α1 y β1, así como varios receptores peptidérgicos que participan en el inicio de la secreción salival[4]. Por consiguiente, resulta lógico que los fármacos que actúan como antagonistas sobre estos receptores autonómicos, a pesar de estar prescritos para tratar disfunciones en los diversos componentes del sistema nervioso autónomo, también puedan afectar las funciones de las glándulas salivales y causar sequedad en la boca.

Causas y síntomas

Es importante abordar tanto la causa subyacente de la xerostomía como sus síntomas, ya que la sequedad bucal crónica puede aumentar el riesgo de caries, infecciones y otros problemas bucales. 

Paciente medicado con múltiples fármacos que padece xerostomía.

Los agentes parasimpaticomiméticos con potentes propiedades estimulantes de los receptores muscarínicos, como la pilocarpina y la cevimelina, se han utilizado como estimulantes salivales sistémicos[5]. Aunque aumentan significativamente la salivación, los efectos secundarios de estos fármacos limitan su uso en pacientes con DGSMIM. También es necesario asegurarse de la funcionalidad de las glándulas salivales antes de administrar estos medicamentos.

Los sustitutos salivares son productos formulados para aliviar la sequedad bucal y parcialmente restaurar las funciones de la saliva[6]. Estos productos suelen presentarse en forma de aerosoles, enjuagues bucales o geles. Algunos sustitutos salivares contienen ingredientes como electrolitos que imitan la composición química de la saliva natural, lo cual ayuda a humedecer la boca y ofrece alivio temporal.

Conclusión

En resumen, la disfunción de las glándulas salivares provocada por medicamentos es un problema generalizado que conlleva consecuencias significativas para la salud bucal y la calidad de vida de quien la padece. Es crucial mantener una comunicación estrecha y coordinada entre el odontólogo y el médico prescriptor, especialmente en situaciones que requieran tratamiento dental, con el fin de garantizar el mejor resultado posible para el paciente afectado[7].

________________________________________________________________________________________________________________________________

El Dr. Iván Herrera, Periodoncista que ejerce en Barranquilla, Colombia, es Especialista en Farmacia Clínica con Máster en Farmacovigilancia y en Infectología Clínica. 

Artículos relacionados

Bibliografía

[1] Edgar WM. Saliva: its secretion, composition and functions. Br Dent J 1992;172:305-12.

[2] Anna Greta Barbe Medication‐Induced Xerostomia and Hyposalivation in the Elderly: Culprits, Complications, and Management. Drugs & Aging. https://doi.org/10.1007/s40266-018-0588-5.

[3] Nguyen CT, MacEntee MI, Mintzes B, Perry TL. Information for physicians and pharmacists about drugs that might cause dry mouth: a study of monographs and published literature. Drugs Aging. 2014;31:55-65.

[4] Villa A, Wolff A, Narayana N, Dawes C, Aframian DJ, Lynge Pedersen AM, et al. World Workshop on Oral Medicine VI: a systematic review of medication-induced salivary gland dysfunction. Oral Dis. 2016;22:365-82.

[5] Rady Z.Nemeth A.Ban A.et al.A randomized study to assess the effectiveness of orally administered pilocarpine during and after radiotherapy of head and neck cancer. Anticancer Res. 2006; 26: 1557-1562.

[6] Hahnel S, Behr M, Handel G, Bürgers R. Saliva substitutes for the treatment of radiation-induced xerostomia-a review. Support Care Cancer. 2009;17:1331-43.

[7] Villa A, Wolff A, Aframian D, Vissink A, Ekstro ̈m J, Proctor G, et al. World Workshop on Oral Medicine VI: a systematic review of medication-induced salivary gland dysfunction: prevalence, diagnosis, and treatment. Clin Oral Investig. 2015;19:1563-80.

 

To post a reply please login or register
advertisement
advertisement