Search Dental Tribune

Abordaje odontológico del Síndrome de Prader-Willi: Desafíos y consideraciones clínicas

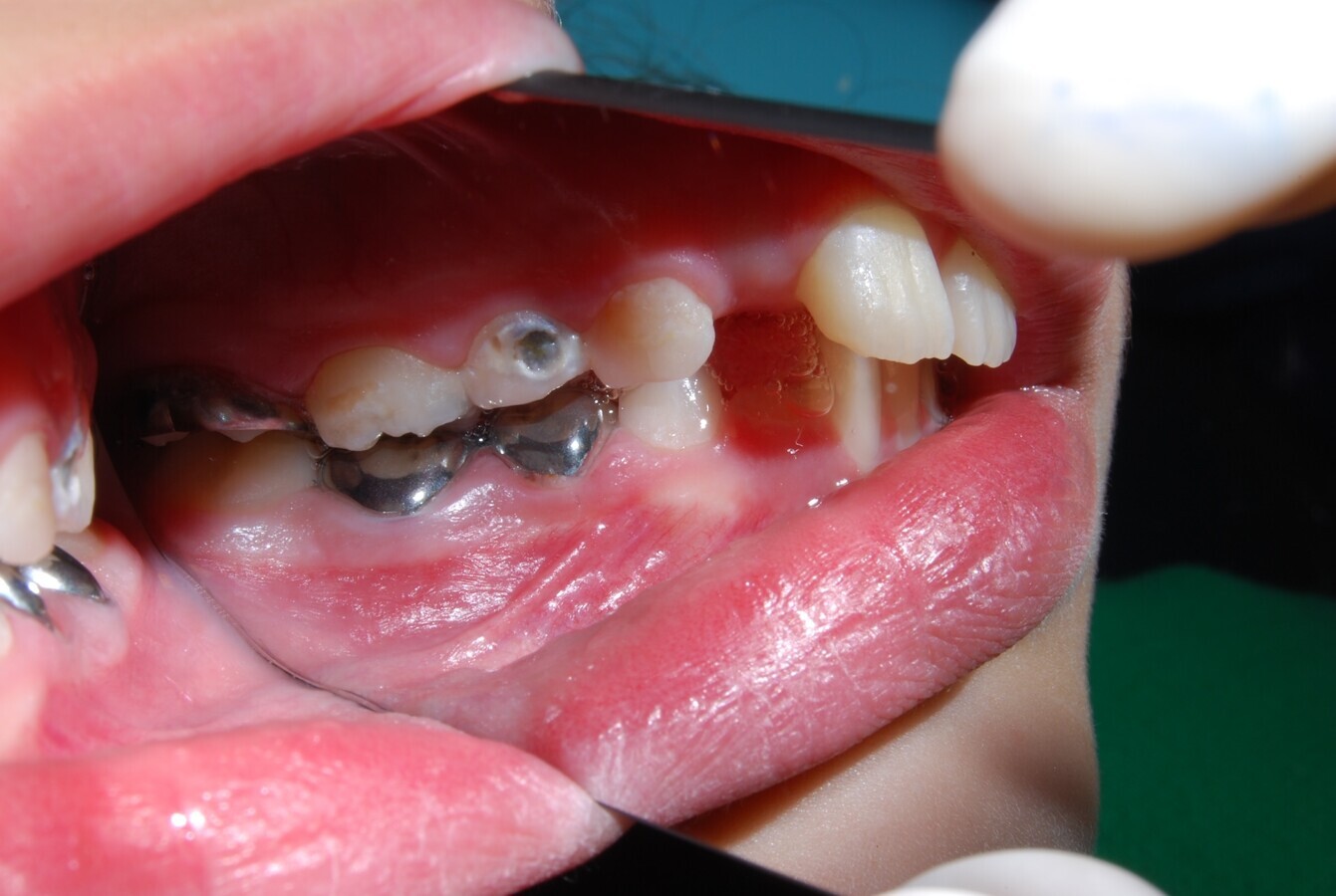
Figura 1. Fotografía intraoral de la dentición de un paciente con Síndrome de Prader-Willi.

lun. 22 abril 2024

guardar

Es fundamental tener conocimientos odontológicos especializados y formar parte de un equipo multidisciplinar al tratar a pacientes con Síndrome de Prader-Willi (SPW). Dada la complejidad de esta condición genética, que afecta tanto la salud física como la mental, los odontólogos deben comprender las características orales únicas del SPW y colaborar juntamente con otros profesionales de la salud. Esto garantiza un enfoque integral en el manejo de la salud bucal y general de los pacientes con SPW, optimizando así su calidad de vida y los resultados de tratamiento a largo plazo.

1. Características del Síndrome de Prader Willi

El síndrome de Prader-Willi es un trastorno genético poco común que ocurre aproximadamente en 1 de cada 10,000 a 30,000 nacimientos1. Es causado por una anomalía en el cromosoma 15q11-q13, incluyendo deleción intersticial paterna, disomía uniparental materna y defectos de impronta2.3. El diagnóstico se confirma mediante pruebas genéticas, aunque existe una relación entre las características clínicas y el rango de edad del paciente con SPW (Tabla 1). Este síndrome se asocia con una serie de variedad de problemas médicos, cognitivos y de comportamiento que varían según la edad del paciente.

Los pacientes diagnosticados con SPW sufren múltiples trastornos, problemas médicos y sociales. Las manifestaciones características de la enfermedad pueden incluir baja estatura debido a deficiencia de hormona de crecimiento, hipotonía muscular, manos y pies pequeños, ojos en forma de almendra, fisuras palpebrales inclinadas, estrabismo, hipopigmentación de la piel y el cabello, osteoporosis, una boca triangular, comisuras bucales hacia abajo, labio superior delgado, dificultades alimentarias en la infancia, hiperfagia, obesidad, hipogonadismo, escoliosis, tono muscular bajo, umbral de dolor elevado, alteraciones en el hipotálamo y una expectativa de vida reducida. Las anormalidades del sueño, incluyendo la narcolepsia y la catalepsia, también son características comunes de SPW que pueden estar relacionadas con el estrechamiento de las vías respiratorias superiores. Por lo tanto, existe una alta prevalencia de apnea obstructiva del sueño (AOS) entre los pacientes con SPW. Además de estas complicaciones físicas, los pacientes con SPW también pueden experimentar deficiencias cognitivas y problemas de comportamiento que impactan significativamente su calidad de vida.

Una de las complicaciones menos conocidas pero significativas del SPW es su asociación con trastornos dentales y orales.

Actualmente, debido a un posible diagnóstico temprano del síndrome y la introducción de un manejo multidisciplinario ya en la primera infancia (principalmente, dieta baja en calorías, aumento de la actividad física, terapia con hormona del crecimiento, apoyo psicológico) y la participación razonable de los cuidadores de los pacientes en el proceso terapéutico, la obesidad y sus complicaciones pueden prevenirse de manera efectiva.

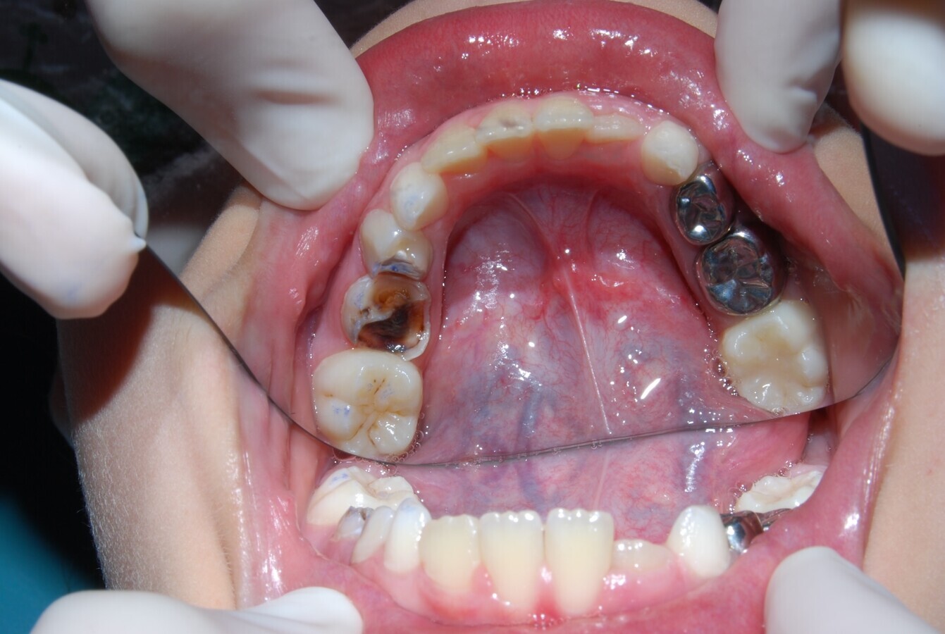
Figura 2. Fotografía intraoral de la dentición de paciente con SPW.

El principal problema en la primera infancia de los niños es la hipotonía muscular asociada con una succión y alimentación deficientes y, en última instancia, resulta en un aumento de peso inadecuado. También se observan retrasos en el desarrollo del habla e hiperfagia. Los problemas de comportamiento ocurren en la primera infancia; sin embargo, se intensifican en la pubertad.

La gestión del SPW requiere un enfoque multidisciplinario para reducir la morbilidad y mejorar la calidad de vida. Una de las complicaciones menos conocidas pero significativas del SPW es su asociación con trastornos dentales y orales. En este artículo, exploraremos en detalle las condiciones bucales comunes observadas en pacientes con SPW, así como las estrategias de tratamiento y manejo multidisciplinario necesarias para mejorar su salud bucal y calidad de vida.

2. Condiciones bucales asociadas a SPW

Los pacientes con SPW presentan una serie de condiciones bucales que pueden afectar su salud oral a lo largo de su vida. Algunas de éstas incluyen:

Caries rampantes5: debido a una combinación de alta ingesta de carbohidratos refinados y una higiene oral inadecuada, los pacientes con SPW son propensos a desarrollar caries dental de manera rápida y extensa.

Hipoplasia del esmalte6: la hipotonía muscular en la infancia puede contribuir al desarrollo de esmalte dental defectuoso, lo que aumenta el riesgo de erosión y desgaste dental.

Maloclusión y retraso en la erupción dental7: la hipotonía muscular y otros factores asociados con el SPW pueden influir en el desarrollo adecuado de la oclusión dental y la erupción de los dientes, lo que puede resultar en maloclusiones y retrasos en la erupción dental. También hay algunos pacientes que pueden tener micrognatia y taurodontismo.

Candidiasis oral8: la inmunodeficiencia relativa y las alteraciones en la composición de la saliva pueden predisponer a los pacientes con SPW a infecciones por hongos, como la candidiasis oral. También puede aparecer asociado queilitis angular.

Figura 3. Fotografía intraoral oclusal maxilar de paciente con SPW.

Enfermedad periodontal9: la acumulación de placa dental debido a una higiene oral deficiente, combinada con alteraciones en la saliva, puede aumentar el riesgo de enfermedad periodontal en pacientes con SPW.

Secreción disminuida y saliva pegajosa10: la disminución de la secreción salival puede contribuir a una mayor susceptibilidad de la mucosa oral a lesiones e infecciones. Una cantidad inadecuada de saliva puede disminuir su función protectora, asociada también con una actividad antibacteriana de las enzimas salivales, es decir, lisozima, lactoferrina, sialoperoxidasa, y la capacidad de ciertas glicoproteínas (aglutininas) para formar agregación bacteriana, lo que permite su deglución y reduce las infecciones.

Lesiones mecánicas en la mucosa oral8: los trastornos del comportamiento y el umbral de dolor disminuido en pacientes con SPW pueden contribuir a lesiones mecánicas autoinfligidas en la mucosa oral (por ejemplo, morderse las mejillas).

Desgaste dental11: el desgaste puede ser causado por atrición, erosión, abrasión o una combinación de estas condiciones.

3. Consideraciones y manejo odontológico

El tratamiento efectivo de las condiciones bucales en pacientes con SPW requiere un enfoque multidisciplinario que involucre a odontólogos, médicos, terapeutas del habla y otros profesionales de la salud. Algunas estrategias de tratamiento y manejo incluyen:

Profilaxis oral y educación en higiene bucal: es fundamental enseñar a los pacientes y cuidadores técnicas de higiene oral adecuadas y realizar profilaxis dental regular para prevenir la acumulación de placa y la caries dental.

Uso de enjuagues bucales, pastas dentales fluoradas, tratamientos de flúor: Los enjuagues bucales con clorhexidina, pastas dentales fluoradas, aplicaciones tópicas de barnices y cubetas con flúor pueden ayudar a controlar la placa dental y prevenir la caries dental en pacientes con SPW.

Tratamiento de maloclusiones: la evaluación y el tratamiento precoz de las maloclusiones pueden mejorar la función masticatoria y prevenir complicaciones a largo plazo en pacientes con SPW.

Manejo de problemas de conducta: los pacientes con SPW pueden presentar problemas de comportamiento que dificultan el tratamiento dental. Es importante trabajar en colaboración con terapeutas del habla y otros profesionales para abordar estos problemas.

Seguimiento regular y mantenimiento: los pacientes con SPW requieren seguimiento y mantenimiento dental regular para monitorear la progresión de las condiciones bucales y prevenir complicaciones a largo plazo.

Tratamiento conservador de las lesiones de caries: mediante obturaciones y tratamientos pulpares en caso necesario.

Figura 4. Fotografía intraoral oclusal mandibular de paciente con SPW.

Tratamiento antifúngico

Tratamiento para el bruxismo: posibilidad de tratamiento con fisioterapia, depende de la edad del paciente plantear posibilidad de férula descarga.

En la evaluación de salud bucal se valoran ítems tales como:

Protocolo clínico odontológico para el Síndrome de Prader-Willi

1. Derivación

1.1 Centro de derivación a hospital de referencia.

1.2 Historia clínica e informe de diagnóstico del paciente.

2. Primeras visitas

Desensibilización inicial.

Primera visita.

2.1 Protección de datos y consentimiento informado.

2.2 Datos de filiación.

2.3 Antecedentes personales de interés.

2.3.1 Patológicos.

2.3.1.1 Alergias conocidas.

2.3.1.2 Enfermedades sistémicas importantes.

2.3.1.3 Intervenciones quirúrgicas previas.

2.3.2 No patológicos.

2.3.2.1 Aspectos psicosociales. Asistencia / Tratamientos.

2.3.2.2 Hábitos tóxicos.

2.3.2.3 Medicaciones.

2.3.2.4 Antecedentes familiares.

2.4 Exploración intraoral.

2.4.1 Mucosa oral y procesos alveolares.

2.4.1.1 Presencia de úlceras, fibromas e hiperplasias.

2.4.1.2 Presencia de espículas óseas.

2.4.2 Valoración periodontal.

2.4.2.1 Periodontograma. Índice de placa y nivel de raspado.

2.4.3 Dientes.

2.4.3.1 Caries.

2.4.3.2 Reborde no pulido y punzante.

2.4.4 Dientes impactados e incluidos.

2.4.5 Amplitud de apertura oral máxima.

2.4.6 Valoración ortodoncia.

2.4.6.1 Problemas transversales, anteroposteriores y verticales.

2.4.6.2 Clase molar y canina.

2.4.6.3 Tipo de dentición (temporal y/o definitiva).

2.5 Hábitos higiénicos. Cepillado, uso de colutorios, limpieza interproximal.

2.6 Exploración extraoral.

Según las necesidades del paciente:

2.7 Registro volumen de saliva. (Presentan una disminución del flujo salival y un aumento de la viscosidad produciendo una saliva espesa; esto dificulta la capacidad de masticar y tragar y altera la percepción del gusto. Los mismos factores también pueden influir en la claridad al hablar y en su calidad de vida. El tratamiento consiste básicamente en estimular la salivación y/o recurrir a sustitutos salivales).

2.8 Ortopantomografía (en caso de necesidad de ortodoncia, petición de teleradiografía). Posibilidad de escaneo de ortodoncia en caso de necesitar aparatos (teniendo en cuenta el retraso cognitivo y la difícil colaboración en algunos casos, sería muy útil poder evitar la realización de impresiones).

Figura 5. Vista clínica intraoral que muestra caries extensa en dientes 84 y 85.

Figura 6. Vista clínica oclusal de la apertura cameral en diente 85.

Figura 7. Vista clínica oclusal de tratamiento pulpar en diente 85.

2.9 Rx Aletas de mordida. Siempre que sean necesarias.

2.10 Periapicales. Siempre que sean necesarias.

2.11 Elaboración del plan de tratamiento.

2.12 Registro de fotografías intraorales y extraorales.

Extraorales : Frontal y perfil

Intraorales: Oclusal superior e inferior

Máxima intercuspidación. Frontal y laterales

Mucosa bucal derecha e izquierda

Lengua derecha e izquierda. Dorso de la lengua

Fondo de boca

3. Fase higiénica

3.1 Educación y enseñanza de higiene oral y control de placa (cepillado, hilo dental, colutorios de clorhexidina).

3.2 Tartrectomía y tratamiento periodontal (en caso de ser necesario).

3.3 Aplicación de fluoruro sódico en gel al 1% con cubetas preformadas (muchos casos pueden presentar erosión dental debido a alimentos o bebidas ácidas para estimular la saliva o por la propia dieta) o aplicación   de barniz de flúor.

3.4 Información sobre buenos hábitos dietéticos y control de los hábitos nocivos.

3.5 Tratamientos antifúngicos.

4. Fase conservadora

4.1 Obturación de las lesiones de caries y tratamiento pulpar en caso necesario.

4.2 Control y tratamiento en caso necesario de hipoplasias e hipomineralizaciones.

4.3 Tratamiento de bruxismo.

4. Conclusiones

El Síndrome de Prader-Willi presenta una serie de desafíos únicos en el ámbito odontológico, que van desde el manejo de condiciones bucales específicas hasta el abordaje de problemas de comportamiento y cognitivos. Un enfoque multidisciplinario que integre la atención médica, odontológica y de apoyo familiar es fundamental para mejorar la calidad de vida de los pacientes con SPW y minimizar las complicaciones asociadas con su condición. Es fundamental que los odontólogos y otros profesionales de la salud estén capacitados para reconocer y tratar estas condiciones de manera efectiva, brindando así un cuidado integral a esta población especial.

_________________________________________________________________________________________________________________________________________________________

La Dra. Belisa Olmo González, DDS, MSc, PhD, es Directora del Area de Odontogeriatría, Pacientes Especiales y Medicina Oral y Profesora del Máster en Odontogeriatría, Pacientes Especiales y con Compromiso Médico, en la Facultad de Odontología de la Universitad Internacional de Cataluña (UIC Barcelona).

Referencias

  1. Cassidy SB, Schwartz S, Miller JL, Driscoll DJ. Prader-Willi syndrome. Genet Med. 2012;14(1):10-26.
  2. Donaldson MD, Chu CE, Cooke A, Wilson A, Greene SA, Stephenson JB. The Prader-Willi syndrome. Arch Dis Child. 1994;70(1):58-63.
  3. Bittel DC, Butler MG. Prader-Willi syndrome: clinical genetics, cytogenetics and molecular biology. Expert Rev Mol Med. 2005;7(14):1-20.
  4. Gunay-Aygun M, Schwartz S, Heeger S, O'Riordan MA, Cassidy SB. The changing purpose of Prader-Willi syndrome clinical diagnostic criteria and proposed revised criteria. Pediatrics. 2001;108(5):E92.
  5. Bailleul-Forestier I, Verhaeghe V, Fryns JP, Vinckier F, Declerck D, Vogels A. The oro-dental phenotype in Prader-Willi syndrome: a survey of 15 patients. Int J Paediatr Dent. 2008;18(1):40-7.
  6. Angulo MA, Butler MG, Cataletto ME. Prader-Willi syndrome: a review of clinical, genetic, and endocrine findings. J Endocrinol Invest. 2015;38(12):1249-63.
  7. El-Bassyouni HT, Hassan N, Mahfouz I, Abd-Elnaby AE, Mostafa MI, Tosson AMS. Early Detection and Management of Prader-Willi Syndrome in Egyptian Patients. J Pediatr Genet. 2019;8(4):179-86.
  8. Olczak-Kowalczyk D, Witt A, Gozdowski D, Ginalska-Malinowska M. Oral mucosa in children with Prader-Willi syndrome. J Oral Pathol Med. 2011;40(10):778-84.
  9. Yanagita M, Hirano H, Kobashi M, Nozaki T, Yamada S, Kitamura M, et al. Periodontal disease in a patient with Prader-Willi syndrome: a case report. J Med Case Rep. 2011;5:329.
  10. Saeves R, Nordgarden H, Storhaug K, Sandvik L, Espelid I. Salivary flow rate and oral findings in Prader-Willi syndrome: a case-control study. Int J Paediatr Dent. 2012;22(1):27-36.
  11. Saeves R, Espelid I, Storhaug K, Sandvik L, Nordgarden H. Severe tooth wear in Prader-Willi syndrome. A case-control study. BMC Oral Health. 2012;12:12.

 

To post a reply please login or register
advertisement
advertisement