Search Dental Tribune

Implantes zigomáticos en el edéntulo maxilar con reabsorción severa

Navarro, Chacón, Pérez, Navarro

Navarro, Chacón, Pérez, Navarro

mié. 24 mayo 2023

guardar

El tratamiento con implantes zigomáticos es una solución viable y predecible para los paciente con reabsorción severa maxilar. Es un método alternativo a los injertos óseos y la reconstrucción de la maxila. Asimismo, la cirugía de colocación de 4 implantes zigomáticos (Quad Zygoma), es una técnica utilizada como primera línea de abordaje para rescatar casos donde los implantes dentales fallidos han llevado a una atrofia severa del maxilar. La técnica Quad Zygoma ofrece un alto porcentaje de éxito, menor tiempo y menor costo que los injertos óseos, menor morbilidad y gran aceptación del paciente.

Caso clínico de una paciente de 63 años edéntula maxilar que inicialmente fue rehabilitada con 6 implantes dentales y un puente fijo de metal-porcelana colocado en 1999. En el año 2022 es sometida a cirugía para remover los implantes dentales que presentaban periimplantitis severa y reabsorción ósea. Seis meses después nos enfrentamos un maxilar severamente reabsorbido y se le ofrece como primera opción la colocación de 4 implantes zigomáticos en lugar del tradicional tratamiento de reconstrucción maxilar con múltiples injertos óseos en bloque y de seno maxilar.

Con solo 4 implantes zigomáticos (Quad Zygoma) podemos solucionar casos de paciente edéntulo maxilar con reabsorción severa, lo cual es un tratamiento alternativo a la reconstrucción maxilar con injertos óseos. Debe considerarse muchas veces esta técnica como la primera opción de tratamiento para evitar someter al paciente a múltiples procedimientos quirúrgicos, mayor morbilidad, prologados tiempos de resolución del caso y menor aceptación.

Introducción

Los implantes zigomáticos fueron descritos por primera vez por el Dr. Brånemark en 19881,2. En esa época, este tipo de implantes se utilizaban para rehabilitar pacientes que habían sufrido resecciones maxilares debido a alguna patología.

Aparicio en 1993 y Weischer en 1997 citan también el uso de implantes zigomáticos para la rehabilitación post maxilectomías2.

Debido al mínimo volumen de huesos disponible y la imposibilidad de realizar reconstrucciones óseas, se optaba por la utilización de implantes extra largos anclados en el hueso zigomático y su posterior rehabilitación utilizando prótesis fijas o removibles. Entre las ventajas de utilizar implantes zigomáticos3 se pueden mencionar la posibilidad de colocar los implantes, sin necesidad de usar injertos óseos4, menor morbilidad de un segundo sitio quirúrgico en caso de que el injerto sea autógeno y menor tiempo de tratamiento.

En 2011, Aparicio propone una clasificación de los pacientes para implantes zigomáticos basados en lo que el describe como ZAGA5 (Zygoma Anatomy Guided Approach), por sus siglas en inglés. Esta clasificación describe cinco formas del complejo que incluye el zigoma y la cresta alveolar, y su relación con la trayectoria del implante zigomático.

Caso clínico

Paciente femenina de 63 años, edéntula maxilar desde hace 25 años, con historia de colocación de implante dentales y rehabilitación fija en metal-porcelana hace 24 años. La paciente se presentó clínicamente con dolor y abscesos periimplantares en la maxila en el año 2022. Posteriormente a los estudios clínicos y radiográficos se decide la excéresis de los implantes maxilares y todo el tejido de granulación gingival. Después de esta cirugía y su adecuado tiempo de sanado se valora el paciente para decidir el tratamiento a seguir. Debido a la reabsorción severa de la maxilar se propone como primera opción la colocación de 4 implantes zigomáticos (técnica Quad Zygoma).

Se realiza una nueva evaluación clínica y radiográfica para determinar el tratamiento en la nueva tomografía dental volumétrica, valorar el hueso a nivel del zigoma, las dimisiones antero-posteriores y mediales laterales del mismo, la topografía de la pared anterior del seno maxilar y la cantidad de hueso alveolar residual de la maxila7,8.

 

Fig. 2. Planeamiento tridimensional de la colocación de los 4 implantes zigomáticos.

El procedimiento quirúrgico se realiza siguiendo los lineamientos protocolarios para este tipo de cirugía, bajo anestesia general y entubación naso-traqueal. Se colocan los 4 implantes zigomáticos y los pilares protésicos Multi-Units con un torque de 30N/cm210,11. De acuerdo al protocolo establecido para este caso, se dejará un tiempo de 4 meses de oseointegración para luego dar inicio a la rehabilitación del caso por medio de una prótesis fija atornillada a los implantes.

Figs. 3 y 4. Colocación de implantes zigomáticos maxilares derechos y colocación de pilares protésicos.

Figs. 5 y 6. Colocación quirúrgica de los implantes zigomáticos maxilares izquierdos.

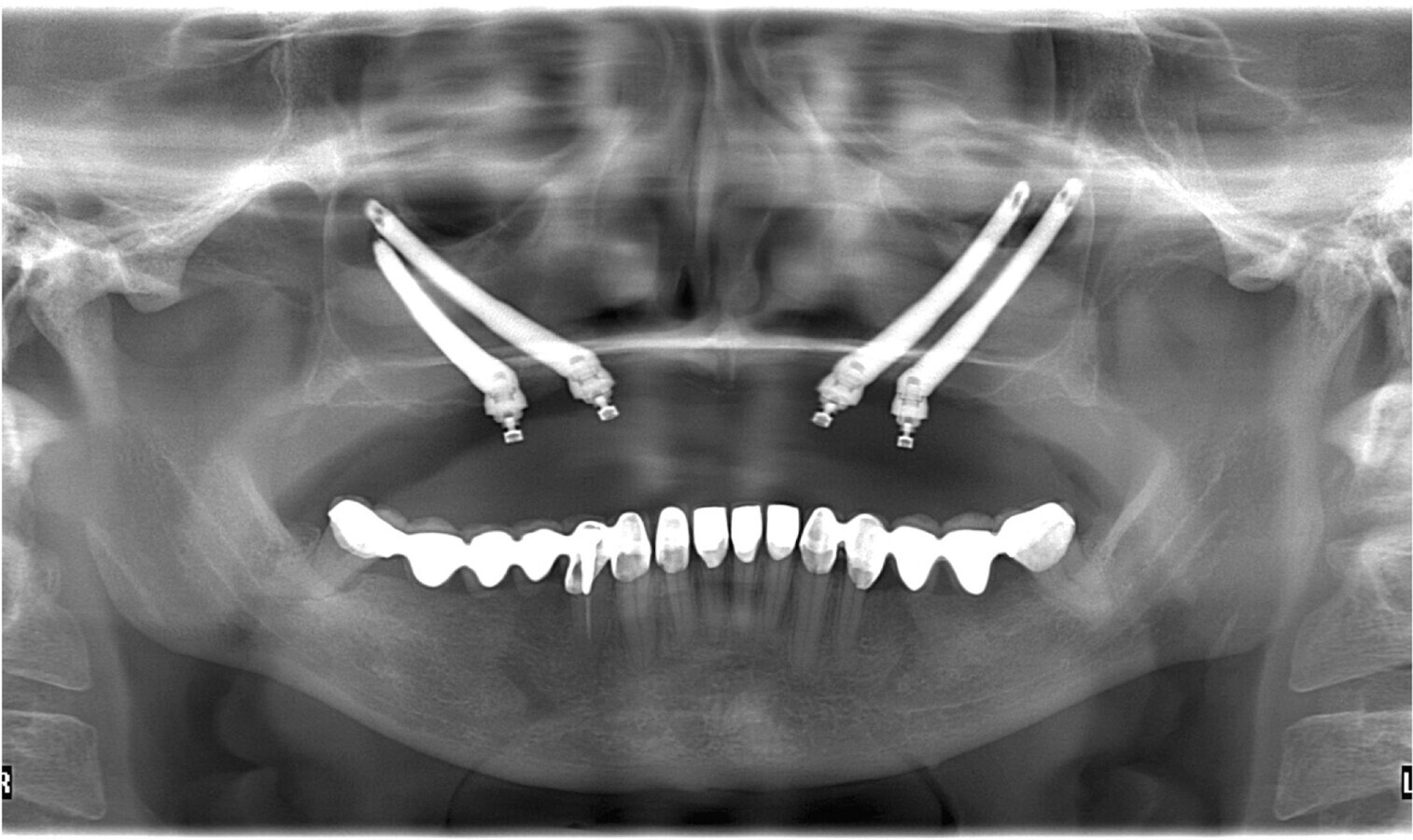
Fig. 7. Radiografía panorámica postoperatoria de Quad Zygoma.

Fig. 8. Imagen topográfica postoperatoria inmediata de Quad Zygoma. 

Conclusión

La rehabilitación maxilar severamente reabsorbida ha cambiado dramáticamente6 . Los tratamientos actuales son mucho menos invasivos y la técnica de Quad Zygoma es una solución predecible para estos paciente. Sin embargo, este procedimiento requiere de experiencia quirúrgica, ya que es sensible a la técnica y pueden ocurrir complicaciones9,12. Entre las complicaciones más comunes se encuentran la comunicación buco-antral, parestesia, infección en la punta del implante, reacción tisular, fístula cutánea, mucositis periimplantar, sinusitis y otras12. Es responsabilidad de cada equipo implantológico el buen entendimiento, la etiología y el adecuado manejo de estas complicaciones.

_________________________________________________________________________________________________________________________________________

Autores

  1. La Dra. Andrea Navarro Morales, Odontóloga Universidad de Costa Rica, es Interna de Cirugía Maxilofacial, Louisiana State University, Shreveport.
  2. El Dr. Guillermo Chacón, DDS FACS, Especialista en Cirugía Maxilofacial, Universidad de Washington, Board Certified American Board of Oral and Maxillofacial Surgery, es Catedrático del Departamento de Cirugía Maxilofacial, Universidad de Washington. Práctica privada en Oral & Facial Surgery Centers of Washington.
  3. El Dr. David Pérez Guevara, Especialista en Cirugía Maxilofacial UNAM, es Cirujano Asistente del Servicio de Cirugía Maxilofacial del Hospital México de Costa Rica.
  4. El Dr. Iván Navarro Henríquez, Especialista en Implantología Oral, Universidad de Miami, tiene práctica privada en Implant Dentistry, Costa Rica.

_________________________________________________________________________________________________________________________________________

Bibliografía

  1. Brånemark P-I. Surgery and Fixture Installation: Zygomaticus Fixture Clinical Procedures (ed 1). Gotheburg, Sweden: Nobel Biocare AB, 1998.
  2. Aparicio C, Manresa C, Francisco K, et al. Zygomatic implants: indications, techniques and outcomes, and the zygomatic success code. Periodontol 2000 2014;66(1):41-58.
  3. Brånemark PI, Grondahl K, Ohrnell LO, et al. Zygoma fixture in the management of advanced atrophy of the maxilla: technique and long-term results. Scand J Plast Reconstr Surg Hand Surg 2004;38(2):70-852.
  4. Block M, Haggerty C, Fisher R. Nongrafting Implant Options for Restoration of the Edentulous Maxilla. J Oral Maxillofac Surg 67:872-881, 2009.
  5. Aparicio C. A proposed classification for zygomatic implant patients based on the zygoma anatomy guided approach (ZAGA): a cross-sectional survey. Eur J Oral Implantol 2011;4(3):269-275.
  6. Davó R, David L. Quad Zygoma. Technique and Realities. Oral Maxillofacial Surg Clin N Am 2019;31 285-297.
  7. Araújo MG, Sukekava F, Wennströ JL, et al. Ridge alterations following implant placement in fresh extraction sockets: an experimental study in the dog. J Clin Periodontol 2005;32(6):645-52.
  8. Davó R, Pons O. 5-year outcome of cross-arch pros- theses supported by four immediately loaded zygo- matic implants: a prospective case series. Eur J Oral Implantol 2015;8(2):169-74.
  9. Aghaloo TL, Mardirosian M, Delgado B. Contro-versies in implant surgery. Oral Maxillofac Surg Clin North Am 2017;29(4):525-35.
  10. Maló P, Nobre M, Lopes I. A new approach to rehabilitate the severely atrophic maxilla using extramaxillary anchored implants in immediate function: a pilot study. J Prosthet Dent 2008;100:354-366.
  11. Aparicio C, Manresa C, Francisco K, et al. Zygomatic implants: indications, techniques and outcomes, and the zygomatic success code. Periodontol 2000 2014;66(1):41-58.
  12. Jensen OT, Adams M, Cottam JR, et al. Occult peri- implant oroantral fistulae: posterior maxillary peri- implantitis/sinusitis of zygomatic or dental implant origin. Treatment and prevention with bone morpho- genetic protein-2/absorbable collagen sponge sinus grafting. Int J Oral Maxillofac Implants 2013;28(6):e512-20.
To post a reply please login or register
advertisement
advertisement