Search Dental Tribune

Restauración protésica sobre implantes desconocidos

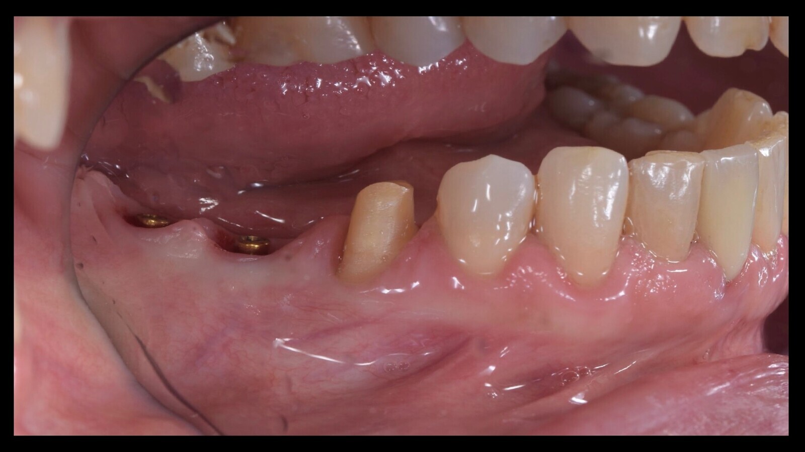
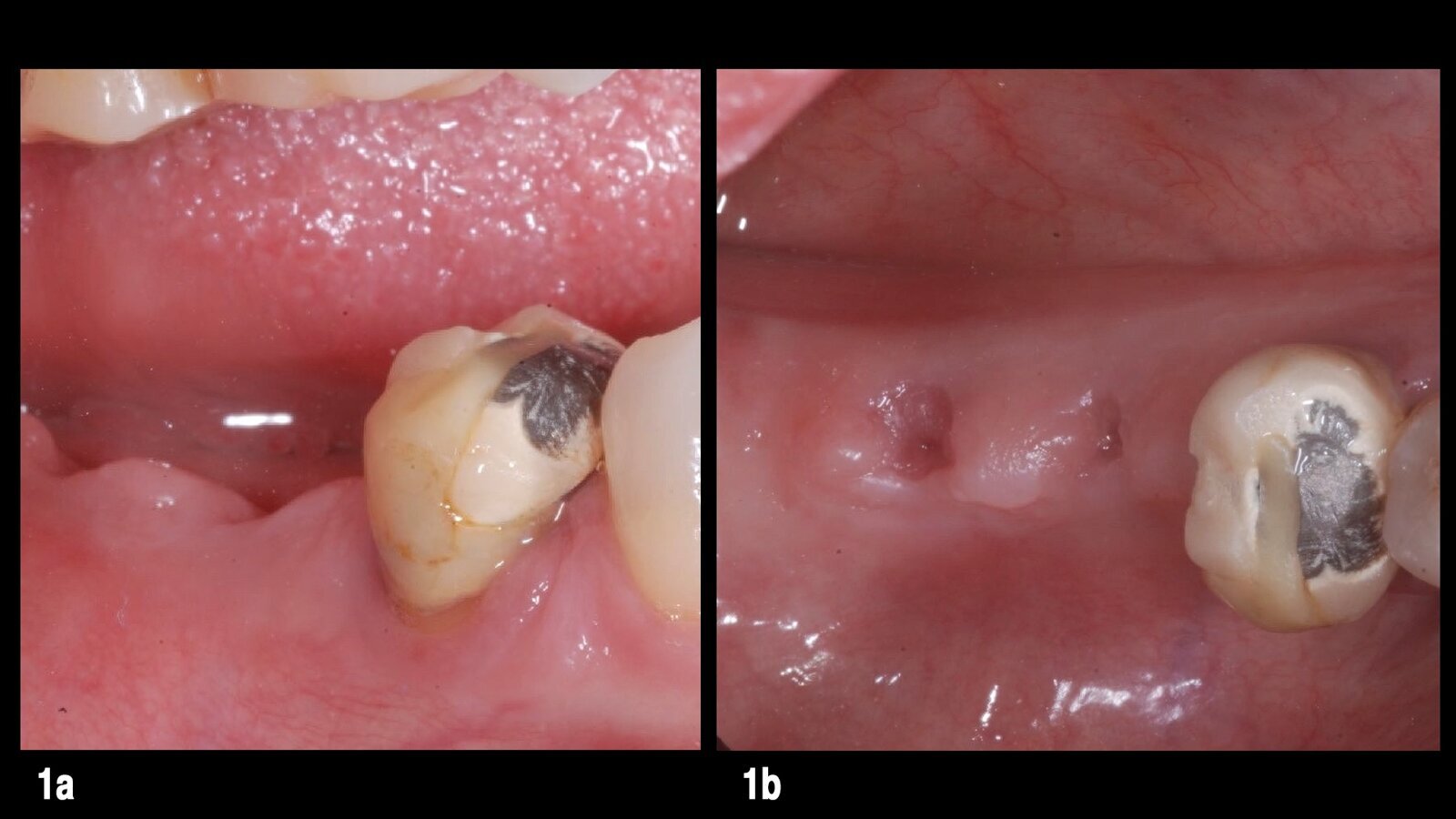
Figura 1. El examen intraoral mostró que los túneles gingivales estaban completamente cerrados (a) para la regeneración del tejido (b), confirmando el tiempo transcurrido desde que se desatornillaron.
Emiliano Ferrari

Emiliano Ferrari

mié. 8 noviembre 2023

guardar

Los autores de este artículo, Emiliano Ferrari, Luca Cattin y Emanuele Giunchi, abordan un reto clínico cada vez más frecuente en la consulta dental debido a la creciente movilidad de la población: cómo identificar el implante dental en boca de un paciente colocado por un implantólogo que no pertenece al equipo de la clínica. Este es el primer reto a la hora de rehabilitar este tipo de casos, donde es necesario igualmente identificar los aditamentos necesarios para poder colocar coronas sobre implantes, tal como se explica en este caso clínico.

 

Introducción

La necesidad de rehabilitar con prótesis implantes dentales de los que no tenemos las especificaciones es una situación cada vez más frecuente en la consulta odontológica. Desde hace años, la compañía Rhein 83 ofrece un servicio de personalización de sus aditamentos para ser atornillados a los implantes, con el fin de garantizar elementos de retención a las prótesis removibles en los pacientes que no encuentran documentación para identificar el modelo y el diámetro de los implantes en cuestión.

Utilizando el mismo método, hoy en día, la colocación de los pilares Equator OT, como parte del protocolo del Puente OT, presenta nuevas posibilidades para la rehabilitación, con prótesis fija, de estos implantes "desconocidos".

El caso clínico que se presenta a continuación corresponde a un paciente de 50 años de edad, que vino a nuestra clínica solicitando que se le colocaran dos coronas en los implantes que tenía en la posición 4.6 y 4.7, que informó haber perdido por desatornillado y fractura de un tornillo de fijación desde hacía algún tiempo.

Figura 2. La presencia de un solo tornillo con la cabeza con el encaje para el destornillador y la integridad del relleno del orificio de acceso oclusal en el elemento 4.6 sugería que el segundo tornillo estaba fracturado. De lo contrario, el artefacto protésico no podría haberse desprendido.

Figura 3. Esta intuición fue confirmada por el examen radiográfico, que mostró claramente el fragmento del tornillo separado dentro del implante.

Figura 4. La situación presentaba, por lo tanto, dos puntos críticos: la extracción del fragmento y la identificación de los implantes. Esto era también esencial para poder utilizar el "Kit de extracción de tornillos rotos", que debe encajar perfectamente con la plataforma y el cuello del implante.

Figura 5. Mediante la "lectura" del antiguo pilar, fue posible identificar el paso de rosca y la plataforma del implante (5a) para obtener, además del kit mencionado, dos pilares Equator de OT personalizados (5b).

 

 

Figura 6. En situaciones en las que no se puede atornillar nada al implante para identificarlo (tornillos de cubierta, tornillos de cicatrización, pilar), se puede intentar identificarlo tomando una impresión de su interior.

Figura 7. Una vez que se realizó una pequeña cirugía del túnel de la membrana mucosa con láser.

Figura 8. El fragmento estaba suelto y fue fácilmente removido.

Figura 9. Otra imagen de la remoción del implante desconocido, para lo que se usó un kit especial.

Figura 10. La remoción no dañó la rosca del implante, como se observa en la imagen.

Figura 11. La radiografía muestra que se realizó una remoción limpia del implante.

Figura 12. Durante la misma cita, se posicionaron los Equator con la técnica tradicional, como se observa en estas dos imágenes.

Figura 13. Para ello se utilizó la transferencia dedicada a la técnica atornillada (a), con una cubeta de impresión abierta previamente empaquetada (b).

Figura 14. El modelo maestro se realizó utilizando los análogos del Equator de OT y se escaneó, como se observa en estos dos ángulos.

Figura 15. El escaneado permitió la confección del provisional mediante técnica digital.

Figura 16. Los provisionales fueron diseñados y fresados con la técnica CAD-CAM.

Figura 17. Posteriormente, fueron pegados a los pilares preformados extragrade (b).

Figura 18. A fin de facilitar la inserción y la retirada de los dientes provisionales (a) durante las futuras etapas de trabajo, se utilizaron anillos Seeger temporales (b) de tensión reducida.

Figura 19. Las coronas de resina fueron entregadas tanto para los implantes (a) como para el elemento natural preparado (b). En un caso de reconstrucción (es decir, con implantes ahora completamente osteointegrados) (c), la elección de entregar un provisional, antes del definitivo, se hizo con el objetivo de permitir una rápida restauración de la masticación y el acondicionamiento del tejido para asegurar la reforma de las papilas interdentales.

Figura 20. Tres semanas más tarde, comenzamos el flujo de trabajo (en este caso completamente digital) para las coronas finales.

Figura 21. Para ello, se realizó una exploración intraoral del muñón natural y del Equator utilizando marcadores de exploración dedicados.

Figura 22. En el modelo, diseñado (a) e impreso (b), se atornillaron los análogos del Equator dedicados mediante técnica digital.

Figura 23. Primer plano del atornillado de los análogos del Equator mediante técnica digital.

Figura 24. El proyecto se realizó inicialmente en aluminio, obteniendo, a un bajo costo, un modelo para verificar la precisión del escaneado intraoral y la corrección de los volúmenes.

Figura 25. Este prototipo de aluminio (a, b, c), se probó en boca.

Figura 26. Posteriormente se rediseñó en el laboratorio (a) después de realizar las modificaciones apropiadas (b).

Figura 27. Una vez salvadas las morfologías, se diseñaron las coronas finales.

Figura 28. Las coronas se obtuvieron por sustracción las estructuras de circonio.

Figura 29. Modelo digital para el cementado de las coronas.

Figura 30. Las coronas se cementarían después en los pilares extragrade.

Figuras 31. La prueba en boca se realizó después de la estratificación de la cerámica cruda.

Figura 32. Así, nos saltamos el paso de la prueba de circonio debido a la precisión de las coronas de aluminio, como se observa desde distintos ángulos.

Figura 33. En este momento, después de la glaseado, las coronas están listas para ser insertadas en boca.

Figura 34. Los selladores finales de sellado estándar se insertan para su colocación.

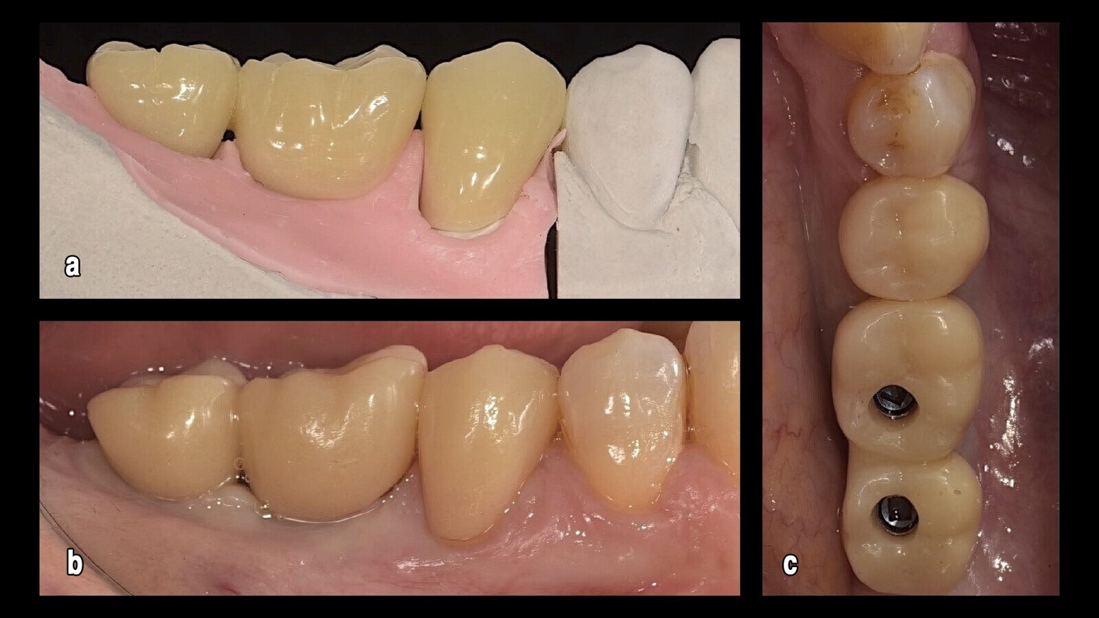
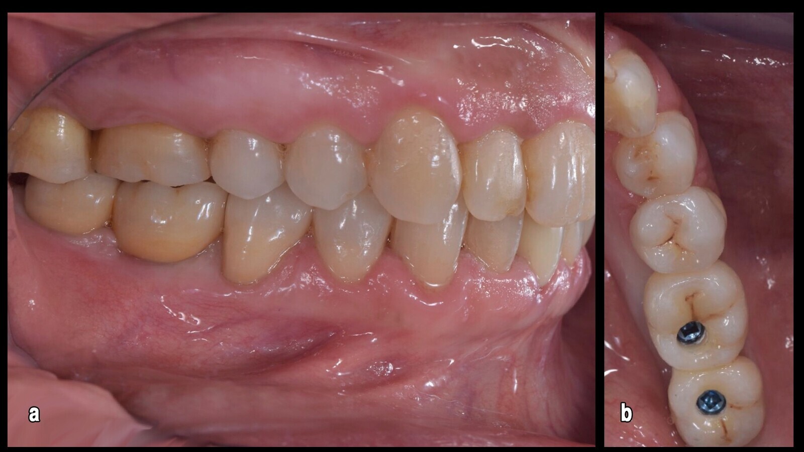
Figura 35. En esta imagen, que precede al atornillado de 4.6, 4.7 y al cementado de 4.5, se puede apreciar el acondicionamiento de los tejidos y el aspecto natural de las parábolas.

Figura 36. Esto permite el camuflaje del artefacto también gracias a las reducidas dimensiones del implante que, en la rehabilitación fija (a), permanece dentro del túnel mucoso (b).

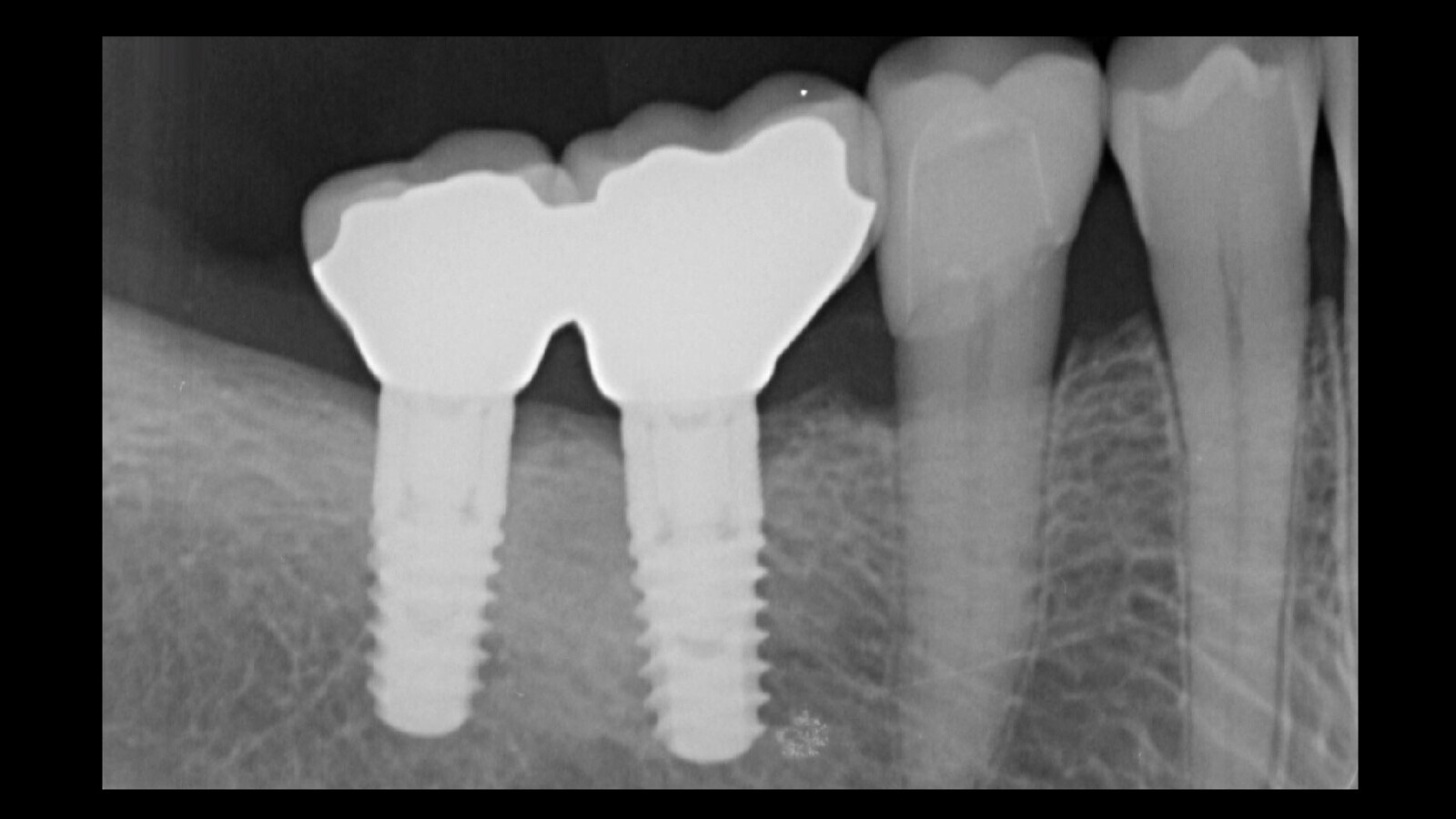
Figura 37. El control radiográfico muestra una buena correspondencia entre los elementos naturales, los implantes y los componentes protésicos.

Conclusión

La técnica del Puente OT, asociado con la posibilidad de hacer un pilar personalizado, permitió rehabilitar, con una prótesis fija atornillada, dos implantes, previamente posicionados, cuyas especificaciones se desconocían. Mediante el uso de una técnica sencilla y fiable, que puede realizarse tanto con un método completamente analógico como en un entorno totalmente digital, obtuvimos un resultado que no habríamos podido conseguir de ninguna otra manera.

____________________________________________________________________________________________________________________________

Autores

El doctor Emiliano Ferrari, especialista en Implantología Rehabilitación Oral por New York University, ejerce en Bolonia, Italia.

El técnico dental Luca Cattin ejerce en Bolonia, Italia.

El técnico dental Emanuele Giunchi ejerce en Bolonia, Italia.

____________________________________________________________________________________________________________________________

 

 

To post a reply please login or register
advertisement
advertisement