El resultado final de la rehabilitación inmediata con implantes y ROG horizontal (imagen principal) y varios de los pasos clínicos realizados por el Dr. Terry Zaniol (imágenes inferiores) para obtener un resultado estético en una paciente con pronunciado déficit óseo.
Este artículo presenta el caso clínico de una mujer de 58 años que precisó la rehabilitación inmediata de implantes dentales en las posiciones 44 y 46. Tras la evaluación clínica y radiográfica, se observó un déficit óseo horizontal en la zona a rehabilitar. Por lo tanto, se realizó una Regeneración Ósea Guiada horizontal y la colocación simultánea de implantes en las posiciones 44 y 46. La cirugía regenerativa se realizó con un injerto heterólogo de colágeno preservado de origen equino protegido por una lámina de hueso cortical flexible de 0,5 mm de grosor.
Introducción
La interdependencia entre el diente y el hueso alveolar es la base de la conservación de este último1. Tras la extracción del diente, la sinergia entre ambos componentes falla y el hueso alveolar sufre un proceso de reabsorción, que puede alcanzar el 50% de su tamaño inicial ya a los 3 meses de la extracción2. Otros factores pueden intervenir y agravar la reabsorción, como las infecciones, los factores genéticos y los posibles traumatismos derivados de la extracción dental. La presencia de enfermedad periodontal combinada con factores socioeconómicos puede conducir es a situaciones de edentulismo parcial o total3. Además de la reabsorción ósea, también existe una reabsorción de los tejidos blandos adheridos al hueso alveolar. Esto es especialmente relevante en el momento de la planificación de los implantes, cuando la evaluación de la cantidad de hueso alveolar residual va acompañada de un análisis de los tejidos blandos. Una posibilidad clínica es la colocación inmediata del implante. Sin embargo, para utilizar esta opción deben cumplirse ciertos requisitos: estabilidad primaria del implante, buena osteointegración en términos de calidad, correcto posicionamiento tridimensional del implante y estética del resultado4. Para conseguir esto último, a menudo es necesario utilizar sustitutos óseos para reducir los posibles espacios entre el implante y el hueso alveolar, además de la posible necesidad de corregir el perfil estético de la cresta alveolar.
Una de las técnicas más utilizadas y previsibles en este tipo de situación es la Regeneración Ósea Guiada (ROG), que responde a 4 principios clave (PASS)5:
Cierre por primera intención para limitar el riesgo de infección
Favorecer la angiogénesis
Crear un espacio para la colonización de células mesenquimales, y,
Proteger el coágulo/material de injerto de las células no osteogénicas y de los micromovimientos.
La ROG no puede prescindir de una correcta selección de los materiales a utilizar. Aunque el hueso autólogo representa el "patrón de oro" en cuanto a propiedades osteoconductoras, osteoinductoras y osteogénicas, también es cierto que conlleva una mayor probabilidad de complicaciones intra y postoperatorias al requerir a menudo una zona donante alejada de la zona afectada. Para ello, existen alternativas consistentes en sustitutos óseos homólogos, heterólogos y sintéticos. El caso aquí presentado muestra los resultados clínicos y radiográficos de la inserción de 2 implantes contextuales a una ROG horizontal, realizada con un injerto heterólogo de origen equino con colágeno preservado y la ayuda de una placa ósea cortical flexible.
Caso clínico
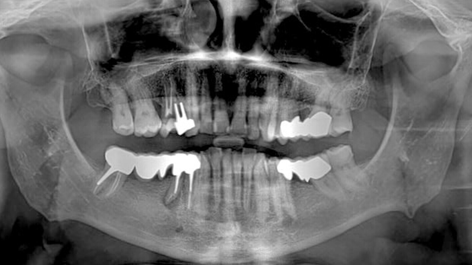
Caso clínico de una mujer de 58 años de edad, en buen estado de salud, que acudió al cirujano para solicitar una rehabilitación implantológica a raíz de la excesiva movilidad y migración apical del puente metal-cerámico en los dientes 44-46. Tras la investigación clínica y radiográfica (Fig. 1), se observó un déficit óseo horizontal. Por lo tanto, se realizó un ROG horizontal y la colocación simultánea de implantes en las posiciones 44 y 46.
Fig. 1. Ortopantomografía inicial: se observa un puente metal-cerámico en las posiciones 44-45-46 con movilidad del pilar.
El material de injerto consistía en gránulos óseos conservados con colágeno de origen equino de un tamaño de grano de 0,25-1 mm (Osteoxenon Cortical-Cancellous Granules) cubiertos y protegidos por una lámina ósea cortical flexible de 0,5 mm de grosor (Osteoxenon Flex Cortical Sheet).
Los injertos heterólogos utilizados, obtenidos mediante un proceso de desantigenización enzimática (Zymo-Teck, Bioteck) se caracterizan por la presencia del componente mineral inalterado y del colágeno óseo en conformación nativa. Gracias a estas propiedades, el injerto es reconocido fisiológicamente por osteoclastos y osteoblastos6 y se remodela con el hueso del paciente en tiempo fisiológico7, 8.
Además, la lámina cortical de origen equino se somete a un tratamiento posterior de desmineralización parcial, que deja al descubierto el colágeno conservado y permite su flexibilidad característica que la hace fácilmente adaptable a las diferentes geometrías de la cresta alveolar9, 10.
El día anterior a la operación, se administró a la paciente antibioticoterapia con amoxicilina y ácido clavulánico 1 g comprimidos cada 12 horas. El día de la intervención se realizó profilaxis antibiótica 1 hora antes del inicio con 1 g de amoxicilina + ácido clavulánico y se administró anestesia local con articaína + adrenalina 1:200.000. Posteriormente, se realizó una incisión lineal de grosor completo en la cresta a lo largo de toda la extensión del defecto, combinada con dos incisiones de liberación vestibular, también de grosor completo. A continuación, se realizó una cuidadosa disección del colgajo subperióstico para obtener una visibilidad adecuada de la zona del defecto. Después se preparó el túnel implantario en las posiciones 44 y 46 y se insertaron los implantes, de 5 x 10 mm y 4,1 x 8,5 mm, respectivamente (Figs. 2 y 3).
Fig. 2. Esqueletonización del defecto y preparación del túnel del implante.
Fig. 3. Inserción del implante y medición de la atrofia horizontal de aproximadamente 5,5 mm.
Clínicamente, se observó una atrofia horizontal de la cresta alveolar de 5,5 mm entre los dos implantes. Para resolver la atrofia horizontal, se decidió realizar un procedimiento ROG utilizando gránulos heterólogos y la Lámina Cortical Flex. Esta última se modeló en primer lugar utilizando una plantilla estéril (Fig. 4).
Fig. 4. Utilización de una plantilla estéril para modelar correctamente la lámina cortical.
Después de hidratarla durante aproximadamente 10 segundos en solución salina tibia, se fijó bucalmente con 3 clavos (Fig. 5).
Fig. 5. Fijación de la lámina cortical flexible de origen equino con 2 clavos.
El espacio entre el hueso basal y la lámina cortical se rellenó con gránulos corticoesponjosos conservados con colágeno (Fig. 6).
Fig. 6. Aumento de volumen horizontal por gránulos de corticoespongiosis de origen equino con colágeno conservado.
Los colgajos se cerraron con suturas Vycril 5-0 para favorecer la cicatrización de primera intención (Figs.7 y 8).
Fig. 7. Pasivación del colgajo para permitir el cierre de primera intención. Obsérvese la inserción de la tercera clavija estabilizadora de la lámina cortical flexible.
Fig. 8. Cierre del colgajo y cicatrización por primera intención.
La radiografía postoperatoria confirmó la correcta colocación del implante (Fig. 9).
Fig. 9. CBCT que muestra la colocación correcta del implante en las posiciones 46 (izquierda) y 44 (derecha).
En el postoperatorio, la paciente siguió una terapia domiciliaria con amoxicilina ácido clavulánico 875/125 mg: 1 comprimido cada 12 horas durante 6 días. Además, ibuprofeno 600 mg: un comprimido cada 12 horas durante los dos primeros días. En la zona operada, se prescribieron lavados con 10 ml de clorhexidina al 0,12% durante 30 segundos durante 10 días.
A los 4 meses de la ROG, el aspecto clínico mostraba una excelente cantidad de hueso recién formado y bien vascularizado (Fig. 10).
Fig. 10. Reapertura a los 4 meses que muestra la excelente cantidad de hueso recién formado y la buena vascularización del sitio, signo de hueso vital y maduro. El incremento horizontal es de 3 mm.
La lámina cortical se había remodelado completamente en hueso nuevo y se extrajeron los pernos que la habían inmovilizado. Se aplicaron tornillos de cicatrización para preparar el tejido blando (Fig. 11) para la prótesis definitiva. Dos meses más tarde se colocó un puente fijo de cerámica de 3 unidades, con los pilares 44 y 46 colocados.
Fig. 11. Aplicación de tornillos de cicatrización en preparación para la prótesis definitiva.
Aproximadamente un año después de la entrega de las prótesis, la paciente mostraba un excelente aspecto de los tejidos blandos, así como un perfil estético correctamente restaurado (Fig. 12).
Fig. 12. El seguimiento a 1 año después de la colocación de la prótesis definitiva muestra el excelente aspecto de los tejidos blandos.
Debate y conclusiones
En este caso clínico se puso de manifiesto la capacidad de la lámina cortical flexible para proteger el injerto óseo, favoreciendo su remodelación y contribuyendo a la resolución de la atrofia horizontal (Fig. 12). A los 4 meses de la ROG se podía apreciar la gran cantidad de hueso recién formado (Fig. 10). Este resultado se debe a la cuidadosa planificación del procedimiento de regeneración y a la óptima combinación de los componentes fundamentales de la regeneración ósea presentes en el hueso alveolar residual y las propiedades del injerto heterólogo utilizado. De hecho, este último, gracias a la conservación del colágeno nativo y del componente mineral, tiene un tiempo de remodelación más corto que los biomateriales calcinados7, 8. Esto es especialmente relevante en las rehabilitaciones protésicas, ya que desde un punto de vista biológico, a largo plazo, es sin duda preferible tener un implante completamente rodeado por el hueso del paciente, en lugar de un biomaterial.
El Dr. Terry Zaniol mantiene una práctica privada exclusiva en implantología, cirugía oral y rehabilitación protésica en Crocetta del Montello, Treviso (Italia). Además de estudiar en Italia y Alemania, obtuvo un Máster en Implantología y Rehabilitación Oral de New York University.
Bibliografía
Pagni G, et al. Postextraction alveolar ridge preservation: biological basis and treatments. Int J Dent 2012:151030.
Van der Weijden F, et al. Alveolar bone dimensional changes of post-extraction sockets in humans: a systematic review. J Clin Periodontol 2009;36(12):1048-1058.
Al-Rafee MA. The epidemiology of edentulism and the associated factors: A literature Review. J Family Med Prim Care 2020;9(4):1841-1843.
Juodzbalys G, Wang HL. Evaluación de los tejidos blandos y duros en la colocación inmediata de implantes: una serie de casos. Clin Oral Implants Res 2007;18(2):237-243.
Wang HL & Boyapati L. Principios “PASS” para una regeneración ósea predecible. Implant Dent 2006;15(1):8-17.
Perrotti V, et al. Human osteoclast formation and activity on an equine spongy bone substitute. Clin Oral Implants Res 2009;20(1):17-23.
Di Stefano DA, et al. Chemical, Clinical and Histomorphometric Comparison between Equine Bone Manufactured through Enzymatic Antigen-Elimination and Bovine Bone Made Non-Antigenic Using a High-Temperature Process in Post-Extractive Socket Grafting. Un estudio clínico retrospectivo comparativo. Dent J (Basilea) 2019;7(3)10.3390/dj7030070.
Di Stefano DA, et al. Histomorphometric comparison of enzyme-deantigenic equine bone and anorganic bovine bone in sinus augmentation: a randomised clinical trial with 3-year follow-up. Int J Oral Maxillofac Implants 2015;30(5):1161-1167.
Rossi R, et al. Restoration of Severe Bone and Soft Tissue Atrophy by Means of a Xenogenic Bone Sheet (Flex Cortical Sheet): A Case Report. Applied Sciences 2023;13(2):692.
Rossi R, Squadrito N. Resolución del fracaso tardío con implantación inmediata y uso de una lámina cortical ósea flexible. Implants 2022;1:30-34.
Decenas de miles de odontólogos, técnicos dentales y estudiantes recorrieron los stands comerciales de los principales distribuidores de la industria ...
El tercer día de la 82ª edición de Expo AMIC Dental confirmó el enorme dinamismo de la industria odontológica en México, con pasillos llenos, intensa ...
La 82ª edición de Expo AMIC Dental reafirmó su posición como la mayor exposición dental del mundo hispanohablante, reuniendo a miles de odontólogos, ...
To post a reply please login or register