A mi consultorio acudió un odontólogo canadiense de 65 años, que presentaba una caries radicular de grado 4 en la pieza 26. Este diente se restauró con una obturación colocada en el área distooclusal y extendida hasta la zona radicular. Durante la excavación no se abrió la pulpa. Al cabo de diez semanas, en vista del empeoramiento repentino de los síntomas, se tomó la decisión de practicar un tratamiento del conducto radicular y, para ello, se derivó al paciente a un endodoncista.
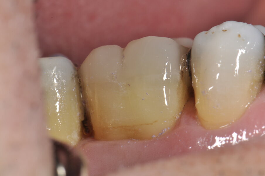
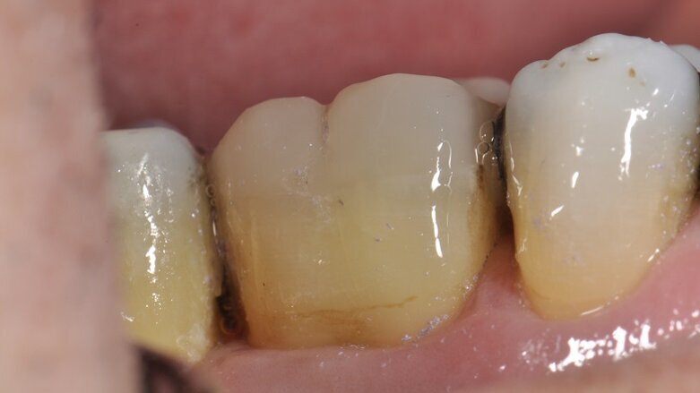
Al finalizar el tratamiento endodóntico, el paciente regresó al consultorio con un sellado provisional del diente para continuar con el tratamiento (Fig. 1).
Nuestro paciente se inclinaba por una restauración con un composite que ofreciera unas propiedades mecánicas óptimas, con el objeto de estabilizar la estructura coronal, fortalecer las cúspides recubriéndolas y conservar el máximo volumen posible de dentina pericervical, toda vez que, a fin de cuentas, este factor condiciona la resistencia a la fractura y el pronóstico de un diente.
A fin de asegurar el grosor de capa requerido para esta restauración, es necesario efectuar una reducción oclusal de 2 mm para dotar la restauración con composite de una durabilidad fiable. Con este fin, se comenzó por practicar unas hendiduras a modo de marcas de profundidad (Fig. 2), se eliminó el sellado provisional, se extrajeron las obturaciones de amalgama anteriores y, finalmente, se redujo la superficie oclusal (Figs. 3 y 4).
Fig. 1: Situación inicial posterior al tratamiento endodóntico.
Fig. 2: Conformación de las hendiduras.
Fig. 3: Extracción de las obturaciones anteriores y reducción de las cúspides.
Fig. 4: Aplicación de una capa de cemento de restauración de ionómero de vidrio para crear un forro cavitario con liberación de fluoruro.
Fig. 5: Preparación de un hombro ancho como base para la forma retentiva.
El sellado de la cámara pulpar se practicó aplicando una capa de cemento de restauración de ionómero de vidrio para crear así un forro cavitario protector con liberación de fluoruro.
Finalmente, solo había que preparar un hombro continuo con una profundidad de 1 mm y una anchura de 1,5 mm (Fig. 5). Como resultado, toda la dentina pericervical restante pudo conservarse y, en consecuencia, la pieza dentaria continuó ofreciendo una resistencia elevada a la fractura pese al tratamiento endodóntico precedente.
Después de someter la pieza a una microabrasión con aire con 27 micrómetros de óxido de aluminio, se procedió a grabarla con ácido ortofosfórico al 33 % durante 15 segundos a fin de ampliar adicionalmente la superficie retentiva. El paso siguiente consistió en la aplicación de Futurabond U (VOCO), con un suave frotamiento durante 20 segundos, para obtener una máxima humectación y, por tanto, una adhesión óptima.
Técnica
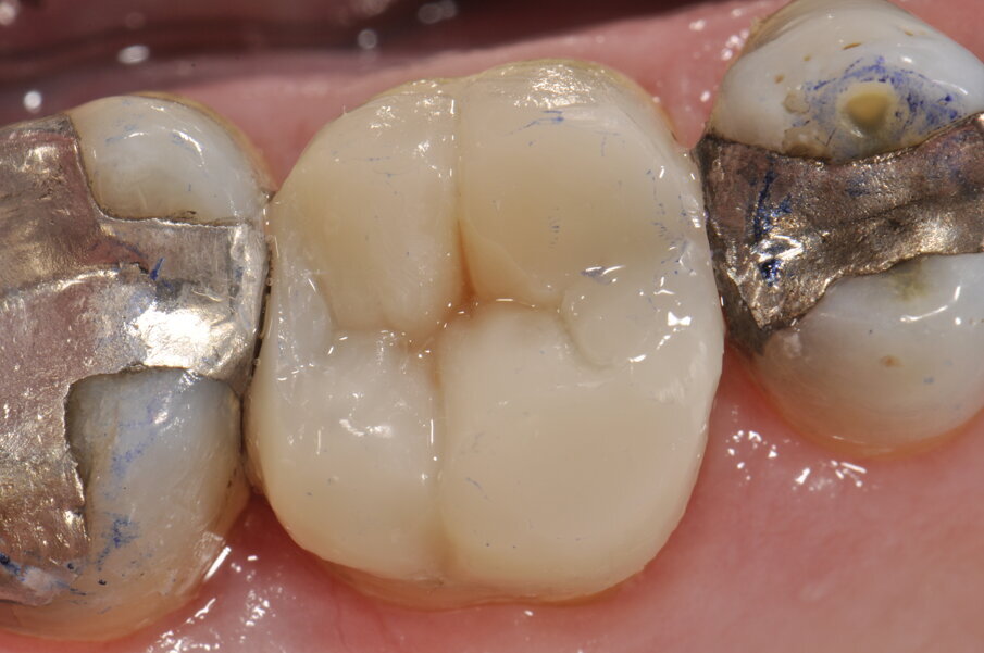
Las paredes bucales y linguales de las cúspides se modelaron con el composite nanohíbrido GrandioSO (VOCO) en el tono A3 y se colocaron primeramente a mano alzada. En este paso, la altura de las cúspides adyacentes sirvió como referencia (Fig. 6). En la figura 7 se aprecia una vista oclusal tanto de las cúspides bucales y linguales iniciales, como de la conformación provisional de lo que posteriormente constituirá la cresta en bisel entre la cúspide distobucal y la mesiopalatina. Una vez acabadas de configurar las paredes bucales y linguales de las cúspides, se conforman las crestas marginales con el sistema de matrices seccionales Triodent/Dentsply V4. Se lleva a cabo una restauración de la clase I (Fig. 8). Seguidamente, se acaba la cúspide mesiobucal y se aplica la caracterización cromática de las fisuras (Fig. 9).
La restauración se completa formando las cúspides sucesivamente en las caras centrales mesial, mesiopalatina y distopalatina (Fig. 10). Finalmente, se efectuaron unos ajustes oclusales (Fig. 11) antes de pulir la restauración con sus cinco cúspides y acabarla (Fig. 12).
Fig. 6: Modelado de las paredes bucales y linguales de las cúspides.
Fig. 8: Conformación de las crestas marginales después de acabar de modelar las paredes bucales y linguales de las cúspides.
Fig. 9: Acabado de la cúspide mesiobucal y caracterización cromática del sistema de fisuras.
Fig. 10: Acabado de la restauración.
Fig. 11: Ajustes oclusales.
Fig. 12: Restauración acabada de pulir.
Comentario sobre los materiales
Selección del adhesivo: Futurabond U (VOCO)
Este agente adhesivo de 8.ª generación, que destaca por ofrecer una excelente resistencia al cizallamiento, es idóneo para múltiples aplicaciones: grabado dentinario total, grabado selectivo y autograbado. El material presenta propiedades de curado dual, de modo que no es necesario agregar un activador adicional para el autocurado químico. Incluso después del termociclado, aporta una mejora significativa de la adhesión al esmalte en comparación con productos equiparables, alcanzando un muy notable valor de 33,8 MPa en la técnica termocíclica de autograbado. Igualmente destacable es la adhesión a la dentina, que, incluso con la técnica termocíclica de autograbado, es 8 MPa más resistente que en el caso de utilizarse una alternativa corriente.
Selección del composite: GrandioSO (VOCO), tono A3
GrandioSO resultó escogido debido a su extraordinaria resistencia a la flexión de 187 MPa: además de superar sensiblemente la de la dentina (165,6 MPa), esta conserva sus excelentes características biomiméticas incluso después de someterse a un esfuerzo por choque térmico a 158 MPa. El material se aplica en áreas expuestas a intensos esfuerzos, por lo que su resistencia a la compresión es determinante para evitar fracturas cohesivas por cizallamiento bajo presión. Con 439 MPa, su resistencia a la compresión supera con creces la del esmalte (384 MPa) y la de la dentina (297 MPa). Otros dos factores decisivos para que la superficie permanezca intacta el máximo tiempo posible residen en la microdureza de la superficie y la resistencia a la abrasión. La dureza superficial de GrandioSO es de 211 MHV, esto es, prácticamente el doble de la dureza de los demás composites probados (Behrend, D., Universidad Rostock, 2010) y muy similar a la del esmalte natural, cuya dureza es de 350-450 MHV. Para toda la restauración pudo emplearse un solo tono (A3), dado que sus propiedades y un contenido de relleno muy elevado permitían asegurar un excelente efecto camaleónico.
Conclusión
El resultado final es una restauración directa de resina con una estabilidad extraordinaria, la cual protege la estructura dental dañada remanente debajo y, gracias a la sólida adhesión y a sus propiedades físicas, ofrece una durabilidad prolongada. Se añaden los convincentes resultados de su gran calidad estética.
Una de las principales citas europeas del sector dental. Alrededor del 20% de la participación empresarial es internacional.
Expodental, el Salón Internacional de Equipos, Productos y Servicios Dentales organizado por IFEMA Madrid, con el apoyo de la Federación Española de ...
Un equipo interdisciplinario ha descubierto que las partículas minerales de la dentina se precomprimen y que esta tensión interna evita la ...
La inscripción al congreso de endodoncia ROOTS SUMMIT 2024 ya está abierta y los organizadores están presentando a algunos de los grandes dictantes y ...
Los autores explican qué se debe hacer con los bebés que nacen con dientes natales y neonatales, una condición rara que a lo largo de la historia se ha ...
La Universidad de León y el Colegio de Odontólogos y Estomatólogos de León han formado una simbiosis perfecta en la que las dos instituciones participan...
A medida que evolucionan los tratamientos contra el cáncer, los clínicos deben adaptar los tratamientos médicos y dentales para compensar los potentes ...
En el marco del 25º aniversario de las Jornadas de Encuentro Pediatría–Odontopediatría, se celebró en la Facultad de Odontología de la Universidad ...
Es fascinante notar cómo un leve cambio del color de los dientes ilumina todo el rostro de quien decide realizar un tratamiento de blanqueamiento ...
Es un odontólogo brillante, con una impresionante vocación por su profesión, en parte heredada de sus padres. A su deslumbrante currículo formativo, se ...
Webinars en vivo
mar. 19 de mayo 2026
17:00 (CET) Madrid
Webinars en vivo
mar. 19 de mayo 2026
19:00 (CET) Madrid
Prof. Dr. med. dent. Ivo Krejci
Webinars en vivo
mié. 20 de mayo 2026
13:00 (CET) Madrid
Dr. Graham Carmichael BDSc (Hons), DClinDent (Pros), FRACDS, Dr. Robert Gottlander DDS
Webinars en vivo
mié. 20 de mayo 2026
15:00 (CET) Madrid
Webinars en vivo
mié. 20 de mayo 2026
17:00 (CET) Madrid
Webinars en vivo
mié. 20 de mayo 2026
19:00 (CET) Madrid
Prof. Dr. med. dent. Tim Joda PhD, MSc, eMBA
Webinars en vivo
jue. 21 de mayo 2026
18:00 (CET) Madrid
Dr. Leonardo Muniz DDS, MSC
To post a reply please login or register