D´Arcy W. Thompson, biólogo, matemático y filósofo, se anticipó con sus sorprendentes rejillas cartesianas a la geometrización computacional actual de espirales logarítmicas, secuencia de números áureos o fractales. Fotos: David Suárez Quintanilla
Los autores de este artículo, profesores en la Universidad de Santiago de Compostela, resaltan la relevancia del biotipo facial en el crecimiento, las proporciones y la estética del rostro. Los tres tipos principales de biotipos son braquifacial (rostro cuadrado, rectangular y anguloso), dolicofacial (en el que predomina el largo sobre el ancho con el tercio inferior más estrecho) y mesofacial (rostro ovalado con rasgos proporcionados y un perfil suave). Así, las técnicas de Ortodoncia para la modificación del rostro están influenciadas por las características de estos biotipos, específicamente por la forma de la mandíbula y la longitud del tercio facial inferior.
El biólogo y matemático escocés D´Arcy W. Thompson (1860-1948) fue un genio que abrazó la amplia tradición de la geometrización biológica,buscando el patrón de la regularidad y la repetición matemática en la forma y evolución de los animales.
Sus conceptos nos remiten a los pitagóricos o a la secuencia Fibonacci de Leonardo de Pisa. Su fascinante libro “On Growth and Form” no deja indiferente a nadie y nos revela que solo podría haber sido escrito por él, porque es una mezcla de los tres terrenos que dominaba: la biología, la matemática y la filosofía.
El rostro, sus proporciones y estética está influido por los distintos biotipos faciales —braquifacial, dolicofacial y mesofacial— determinados en gran parte por la forma de la mandíbula y la longitud del tercio facial inferior.
Conectando las ideas de DW Thompson con los números áureos o la espiral logarítmica de RM Ricketts o la matemática fractal más reciente, empezamos a comprender las variaciones morfológicas del rostro humano y los factores de que depende su variación, a partir de un equilibrado patrón mesofacial.
A los ortodoncistas nos va la vida en ello porque podemos modificar la cara mucho más de lo que la mayoría cree, como ya hemos expuesto en varios artículos1. El dolicofacial extremo no es una variante de la normalidad evolutiva sino una terca y reiterada alteración del crecimiento de un mesofacial, condicionada por la acción neuromuscular, la función o los hábitos. Hay mil ejemplos naturales y/o patológicos que así lo atestiguan1-4.
Dos elementos son importantes para determinar el biotipo: la forma original del cráneo y la forma de la mandíbula.
La Ortodoncia es una ciencia sin apenas científicos donde la mayoría de los especialistas que la ejercen son empíricamente muy resolutivos, consiguiendo resultados sorprendentes, casi mágicos, con aparatos ortopédicos, brackets, alineradores o microimplantes y sin violentar a los dientes (con desgastes, limados, carillas o prótesis) ni los tejidos blandos (cortes y suturas).
Los residentes de la especialidad están ansiosos por mover dientes y experimentar con todo tipo de aparatos; son la cara de una moneda donde la cruz viene representada por otras especialidades menos resolutivas, pero con una infinita carga teórica (estudio de mil artículos científicos) y el divertimento de procedimientos diagnósticos (microbiológicos y genéticos) de dudosa utilidad. Tras la clínica cotidiana de la Ortodoncia se esconde todo un mundo diagnóstico y de teoría craneofacial que pasa desapercibido para la mayoría de los clínicos, apasionados de las últimas novedades tecnológicas y plásticas y no muy aficionados al estudio o la reflexión.
De acuerdo a D´Arcy Thompson, la cara sería evolutivamente deformable como un globo. El globo estaría aplastado verticalmente en los braquifaciales, aumentando sus diámetros transversales y transversalmente en los dolicofaciales, aumentando su dimensión vertical y sagital.
Los ortodoncistas manejamos y domesticamos, de manera inconsciente, un tipo de hueso muy especial, el alveolar, que nace, crece, se remodela y desaparece con los dientes. Las posibilidades de la Ortodoncia son increíbles si nos atenemos a la influencia de su área principal de trabajo en el crecimiento y la estética del rostro. La mayor parte del fino hueso del esplacnocráneo rodea a una gran burbuja de aire, un espacio vacío inmenso representado por la unión de todos los senos (frontales, etmoidales, esfenoidales, maxilares) donde los principales responsables del crecimiento y la maduración de la cara (de dirección perpendicular a las suturas que unen este esplacnocráneo con el neurocráneo) están en relación directa con nuestra especialidad y comprende el crecimiento vertical del complejo dentoalveolar y la mandíbula (ATM, rama, cuerpo y mentón). La cirugía ortognática es resolutiva, es cierto, pero a qué precio cuando la comparamos con los microimplantes o el MARPE. Y todo se complica por el escaso conocimiento que los médicos tiene sobre la boca, el crecimiento maxilar y la erupción dentaria5-9.
Algunas de las medidas utilizadas para la caracterización del biotipo facial de los pacientes en la telerradiografía.
Biotipo y diagnóstico
Un ejemplo de nuestras afirmaciones anteriores son los biotipos faciales. Si uno consulta la literatura médica sobre este tema tan crucial, queda sorprendido: salvando la clasificación de los biotipos craneales de los antropólogos, prácticamente no se encuentra nada.
¿Cómo es posible para los médicos que estudian el crecimiento facial, y sus repercusiones sobre funciones tan importantes como la respiración o la masticación, no tener esto en cuenta?
Con una simple telerradiografía y un sencillo programa de ordenador podemos determinar cómo crecerá y será la cara final de un niño.
Cualquier prueba respiratoria o de actividad electromiográfica muscular debería entender la diferencia entre un braquifacial y un dolicofacial, ya que en el diagnóstico de la patología de ATM /disfunción resulta clave conocer el sustrato facial/muscular /óseo en el que asienta. Los médicos y los especialistas hablan de términos confusos, como el paladar ojival, producto más del biotipo que de la compresión maxilar; cuando se diagnostica un paladar ojival en un paciente marcadamente dolicofacial estamos preguntándonos sobre el color del caballo blanco del Apóstol Santiago. Casi no existen pacientes braquifaciales con paladar ojival (alto y estrecho), pero es la norma en los pacientes dolicofaciales.
Si bien el biotipo tiene una evidente carga genética, la función y epigenética juegan un papel crucial en el crecimiento final del rostro.
Determinar el biotipo de un paciente es clave para conocer su crecimiento facial o saber cómo llego a él. Nos sigue pareciendo alucinante como con una simple telerradiografía y un sencillo programa de ordenador podemos determinar cómo crecerá y será la cara final de un niño. Como ya hemos comentado en otros artículos, la determinación del biotipo ha de exceder al diagnóstico de ortodoncia y habría que incluirlo en el general de la odontología, en especial cuando estemos hablando de grandes rehabilitaciones con o sin el concurso de la ortodoncia.
El crecimiento craneofacial depende de diversos factores en el biotipo braquifacial, mesofacial y dolicofacial.
Dos elementos son importantes para su determinación: la forma original del cráneo (dominio de las medidas transversales en los braquifaciales y de las sagitales en los dolicofaciales) de claro componente genético, pero modificable por la epigenética (deformaciones rituales craneales de las culturas egipcias, precolombinas de Meso y Sudamérica, indios norteamericanos) y la forma de la mandíbula, en especial la altura de la rama ascendente y el ángulo goníaco.
El papel del hueso alveolar
Para entender el papel de los biotipos faciales hay que valorar en su justa medida el crecimiento vertical del hueso alveolar, más allá de los ápices dentarios (grave error de concepto en la literatura médica y odontológica universal) y la rotación asintomática del cóndilo, sin traslación, alrededor de su eje de bisagra terminal (EBT)5-9.
Si bien el biotipo facial y su crecimiento natural no parece tener grandes variaciones, la patología o nuestro tratamiento puede cambiarlo dentro de unos límites. Numerosos experimentos en animales con desinserción y reinserción de los músculos de la masticación o cambios radicales en las funciones orales (como el taponamiento, por parte de Harvold, en primates de las coanas para forzar la respiración oral permanente) así lo atestiguan. El biotipo dependería de la genética y también de la epigenética, mediada por la modificación vertical del hueso alveolar y el cambio en la posición mandibular (EBT)10.
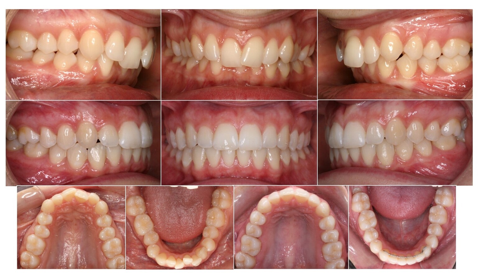
El papel del crecimiento vertical del hueso alveolar sorprende en casos como éste, donde hemos tratado una joven de 16 años de Clase II mandibular con brackets, arcos y elásticos intermaxilares cortos y fuertes. Antes y después.
La determinación del patrón facial en una simple telerradiografía resulta fascinante y se basa en medidas lineales verticales (relación del tercio facial medio con el inferior de 45%/55%) o angulares (Horizontal Verdadera con el Plano Maxilar – ENA-ENP-, el Plano Oclusal Funcional y el Plano Mandibular -Go-Me-), así como en determinadas medidas muy representativas (ángulo Goníaco, Eje Facial y Altura Facial Inferior de RM Ricketts, etc.). Nos gusta la cefalometría de A Björk-Jaraback para la caracterización del biotipo facial y la tendencia de crecimiento. Pero no hay que complicarse la vida a la hora de determinar el problema esquelético vertical: basta con comparar el paralelismo o divergencia de los principales planos cefalométricos horizontales. Una parte de la modificación cefalométrica de estas relaciones, gracias a nuestros aparatos, se circunscribe a la interacción entre crecimiento vertical posterior dentoalveolar y rotación condilar (nueva posición mandibular mantenida)11-13.
Cambios faciales notables en esta paciente a pesar de su edad al inicio del tratamiento de ortopedia mandibular, gracias al desarrollo vertical del hueso alveolar y el "post-puberal growth spurt" característico en algunas mujeres después de la adolescencia.
Tan absurdo resulta tratar de modificar la morfología del ángulo goníaco o del mentón con nuestros aparatos como desconocer los cambios que podemos producir en la posición de la mandíbula a través de la activa remodelación del hueso alveolar posterior (posterorotación o rotación horaria en caso de aposición y rotación antihoraria en caso de reabsorción) mediante la aplicación de fuerzas de intrusión-reabsorción o extrusión-aposición. Por ejemplo, la marcada escotadura antegonial de muchos pacientes refleja esta atávica lucha entre el hueso, que trata de crecer hacia adelante y abajo, y el músculo que tracciona del cuerpo mandibular hacia arriba, y es un ejemplo excelente entre la genética (morfología mandibular) y la epigenética (modificación del hueso por la presión muscular).
Con los microimplantes extraalveolares e infracigomáticos DSQ podemos favorecer la pasiva anterorrotación mandibular y el cierre de la mordida. Esquema de antes (izq.) y después de la intrusión dentoalveolar (der.).
El niño braquifacial tiene su dimensión vertical anterior disminuida (distancia desde el punto subnasal al mentón blando) respecto a la posterior (altura de la rama mandibular), un ángulo goníaco cerrado (próximo a 90º), unos músculos (masétero y temporal) de inserción vertical y su tendencia de crecimiento es hacia delante. Si desarrollan una maloclusión, ésta se caracteriza por la sobremordida y el atrapamiento de la mandíbula por el maxilar; el maxilar suele ser amplio y poco profundo y si se asocia a mordidas cruzadas o ligero colapso transversal maxilar, éste tiene su origen en un problema dental (las raíces presentan marcado torque negativo). La biomecánica muscular vertical condiciona la solución del problema vertical (la sobremordida) y sagital (la Clase II de origen mandibular). Muchas de las maloclusiones verticales en estos pacientes (sobremordida) son debidas, por la potencia muscular y el apretamiento o bruxismo constante, a una falta de desarrollo vertical dentoalveolar en premolares y molares. Un elemento clave para el diagnóstico diferencial es la exposición incisiva en sonrisa posada (incissor display) y la determinación, en posición de reposo, del ELI (espacio libre interoclusal) que tienen muy aumentado (siendo proporcional a la falta de desarrollo dentoalveolar posterior). En muchos de estos niños hay que destrabar la mandíbula, desbloquearla, antes de llegar a la pubertad (donde aumenta significativamente el volumen y potencia de los maseteros y temporales).
La ortodoncia cambiaría mucho si entendiéramos nuestro papel primordial en el crecimiento dentoalveolar vertical y su repercusión en el crecimiento.
El paciente dolicofacial tiene una parte genética y otra epigenética. El crecimiento vertical se ve favorecido por la respiración oral (postura permanente de boca abierta), la inserción oblicua de los músculos elevadores (con menor efectividad biomecánica), el crecimiento posterior del hueso alveolar y la rotación subsiguiente mandibular alrededor de su EBT (eje de bisagra terminal). La relación entre altura facial anterior y posterior es el reverso del braquifacial, el ángulo goníaco está abierto (mayor de 125º) y el plano mandibular (borde inferior del cuerpo) es una pendiente que se aleja del ángulo goníaco y diverge del plano maxilar y oclusal. Si existe además una ligera protrusión de incisivos, la incompetencia labial y la respiración oral están garantizadas. Su paladar es estrecho y profundo y cuando presentan una maloclusión transversal ésta requiere el concurso de la expansión esquelética. Su tendencia más evidente es la mordida abierta anterior; el ELI es mínimo y su invasión (protésica u ortodóncica) genera muchos problemas. La frecuente sonrisa gingival de los dolicofaciales extremos revela el intento de compensación del maxilar al crecimiento vertical de la mandíbula, es como si el maxilar (los incisivos) buscara a la mandíbula en un intento desesperado de lograr una adecuada guía incisal (sobremordida) dentro de la filosofía de la Homeostasis Oclusal de A. Petrovic5-9.
Muestra del uso de microimplantes infracigomáticos DSQ para el control vertical maxilar.
Posibilidades terapéuticas
El patrón facial no solo nos indica cómo es el sustrato donde estamos trabajando sino su tendencia de crecimiento (o la historia de éste) y nuestras posibilidades terapéuticas. Una sobremordida en un dolicofacial se trata con intrusión incisiva superior y en un braquifacial, por ejemplo, con extrusión forzada posterior. Como ya hemos expuesto en anteriores publicaciones, la oclusión del dolicofacial es una respuesta compensatoria a la divergencia entre el plano palatino y mandibular, por eso podemos obtener resultados tan increíbles con microimplantes de intrusión posterior (sean intraalveolares o infracigomáticos).
En nuestro medio, Galicia, uno puede apuntar a la carga genética de los neandertales, los celtas primigenios, las migraciones de las mesetas centrales de Europa, la rareza de los genes procedentes del norte de África o los suevos, pero es indudable que la gran cantidad de pacientes dolicofaciales de nuestras clínicas tienen un origen funcional (el clima) producido y mantenido por la combinación de crecimiento dentoalveolar posterior y rotación mandibular subsiguiente alrededor del EBT. Los extremos, sean braqui o dolicocéfalos, comprometen la estética facial, pero esto se hace más evidente en los dolicofaciales, máxime cuando la naturaleza utiliza la apertura del ángulo goníaco para camuflar crecimientos mandibulares excesivos (ver la mandíbula de los Habsburgo – Borbones).
Microimplantes infracigométicos DSQ para Ortopedia Dentofacial en el adolescente y el adulto.
No es sencillo determinar en estos pacientes si es primero el huevo o la gallina, si una mandíbula dólico, de ángulo goníaco muy abierto y plano mandibular muy inclinado, obliga a un crecimiento vertical excesivo del maxilar (con la consiguiente sonrisa gingival), o si el crecimiento excesivo del maxilar y la compresión del mismo (por respiración oral mantenida y posición baja de la lengua) es el determinante de la rotación mandibular posterior; sea de una u otra forma, parece que un cierto círculo vicioso patogénico está servido en estos pacientes.
¿Por qué la medicina no trata un diagnóstico que es central en la ortodoncia? Sin duda por la preponderancia, durante muchos años, de la genética, el Proyecto Genoma y por la ausencia de estos temas tan cruciales en el currículo del grado. Pero en nuestra hipótesis esta cuestión también se ha visto desprestigiada, en la historia de la Medicina, por el desatino de la fisiognomía, la craneometría o los biotipos corporales de Ernst Kreschmer, recogiendo las ideas arcaicas de los cuatro humores hipocráticos, que trataban de asociar la morfología corporal / craneal / facial con la personalidad y el balance emocional del individuo. En modo alguno nuestro estudio de los biotipos faciales (su morfología, función y tendencia de crecimiento, así como su repercusión directa en el diagnóstico y tratamiento de las maloclusiones) tiene nada que ver con estos temas que, pudiendo tener algún tipo de validez clínica, rezuman especulaciones holísticas o esotéricas. El rábano se toma por las hojas y es cierto que el dolicofacial extremo, con ese tercio facial exageradamente aumentado y permanente postura de boca abierta puede tomarse por tonto (la postura mandibular y labial que Tom Hanhs mantuvo para representar a Forrest Gump), pero cosa bien distinta es que lo sea (lo que nos remite al Eutifrón socrático: “¿Es el piadoso amado por los dioses porque es piadoso, o es piadoso porque es amado por los dioses?”1.
Cambios faciales radicales sin necesidad de cirugía ortognática, solo con microimplantes intra y extraalveolares DSQ (Ziacom Medical Co.).
Este es un artículo de divulgación que trata de abordar un aspecto crucial y desconocido del crecimiento craneofacial y ayudar a conocer la futura estética del paciente, recordando el dicho de “bella en los jubones, fea en los salones”, para indicar cómo el crecimiento maxilar y mandibular vertical excesivo puede echar al traste en la pubertad la aparente belleza infantil del dolicofacial. Es cierto que la gente intuye la importancia de la dimensión vertical de la cara y las proporciones de su tercio medio e inferior (su evaluación por cirujanos, médicos estéticos o incluso especialistas en cosmética, esteticienes y peluqueros), pero es necesario apuntar su valor predictivo y las posibilidades que hoy nos brindan los microimplantes y miniplacas para su modificación.
Hay que estar muy pendientes de los patrones faciales extremos desde la infancia y poner todos nuestros recursos para tratar de modificar en lo posible sus efectos deletéreos sobre el crecimiento vertical de los maxilares y las funciones orales. Me sigue pareciendo sorprendente el número tan limitado de especialistas que comprenden las ideas ya clásicas de Melvin Moss sobre la Matriz Funcional Oral, el papel de la función y la epigenética en el crecimiento cráneofacial, y nos remitimos a sus palabras: “En el crecimiento facial no hay centros genéticos de crecimiento, sino locus influidos por la función”.
La ortodoncia cambiaría mucho si entendiéramos nuestro papel primordial en el crecimiento dentoalveolar vertical y su repercusión en el crecimiento y posición mandibular; nosotros hoy tenemos armas eficientes para producir estos cambios, solo nos falta entender por qué y cómo hacerlo; en definitiva, estudiar más.
AUTORES
El profesor y doctor David Suárez Quintanilla es Catedrático de Ortodoncia de la Universidad de Santiago de Compostela, ex presidente de la European Orthodontic Society y ex vicepresidente para Ortodoncia de la International Association for Dental Research. Es autor también de libros como"Ortodoncia. Eficiencia Clínica y Evidencia Científica” y “Pienso, luego resisto”. Ha desarrollado numerosos dispositivos para ortodoncia. Con la empresa Rocky Mountain Orthodontics de Denver (Estados Unidos), desarrolló la técnica SWLF (Stright Wire Low Friction), que combina la técnica preajustada de Arco Recto con brackets y arcos que permiten un control selectivo de la fricción, mejorando la eficiencia biomecánica y acortando la duración del tratamiento. Más recientemente, ha desarollado la innovadora línea de microimplantes intra y extraalveolares DSQ-Ziacom (Ziacom Medical).
El doctor Juan Seoane Romero es Profesor de Ortodoncia de la Universidad de Santiago de Compostela y autor de más de 50 artículos internacionales con criterios de calidad.
La doctora Paz Otero Casal es Coordinadora clínica del Máster de Ortodoncia de la Universidad de Santiago de Compostela y forma parte del Servicio de Investigación en Ortodoncia, Unidad Dental del Sueño, de la Universidad de Santiago de Compostela.
Bibliografía
Suárez-Quintanilla D. Ata os Dentistas necesitan da Filosofía. 2021. Ágora do Orcellón Nº 44. Edita Avelino Muleiro García. Instituto de Estudios Carballinenses. Carballino. Decembro 2025.
Suárez-Quintanilla D. Ortodoncia: Eficiencia Clínica & Evidencia Científica: Técnica SWLF. Volumen I. Santiago de Compostela. Ed D Suárez-Quintanilla & Servideas, 2016.
WR Proffi, H Fields, B Larson, D M Sarver. Ortodoncia Contemporánea. 6ª Edición. Barcelona. Elsevier 2019.
Suárez-Quintanilla D. Ortodoncia y Ortopedia Dentofacial con Aparatología Híbrida. HAS: Hybrid Appliance System. Valencia. Editorial Lisermed 2024.
Suárez-Quintanilla D, P Otero Casal, P Suárez Suquía. El poder de la Odontología para modificar el rostro humano (I). Dental Tribune Latin America 2022 (24 marzo). Disponible en: D Suárez-Quintanilla. ¿Qué vamos a hacer con los muertos? Dental Tribune Latin America 2021 (4 junio). Disponible en: https://es.dental-tribune.com/news/el-misterio-del-hueso-alveolar-en-el-desarrollo-facial-1-2
Suárez-Quintanilla D, P Otero Casal, P Suárez Suquía. El poder de la Odontología para modificar el rostro humano (II). Dental Tribune Latin America 2022 (31 marzo). Disponible en: D Suárez-Quintanilla. ¿Qué vamos a hacer con los muertos? Dental Tribune Latin America. 2021 (4 junio). Disponible en: https://es.dental-tribune.com/news/el-misterio-del-hueso-alveolar-en-el-desarrollo-facial-2-2/
Suárez-Quintanilla D, P Otero Casal, P Suárez Suquía. El poder de la Odontología para modificar el rostro humano (II). Dental Tribune Latin America 2022 (7 abril). Disponible en: D Suárez-Quintanilla. ¿Qué vamos a hacer con los muertos? Dental Tribune Latin America 2021 (4 junio). Disponible en: https://es.dental-tribune.com/news/el-misterio-del-hueso-alveolar-en-el-desarrollo-facial-3-2/
Suárez-Quintanilla D, P Otero Casal, P Suárez Suquía. El poder de la Odontología para modificar el rostro humano (III). Dental Tribune Latin America 2022 (14 abril). Disponible en: D Suárez-Quintanilla. ¿Qué vamos a hacer con los muertos? Dental Tribune Latin America 2021 (4 junio). Disponible en: https://es.dental-tribune.com/news/el-misterio-del-hueso-alveolar-en-el-desarrollo-facial-4-2/
Suárez-Quintanilla D, P Otero Casal, P Suárez Suquía. El poder de la Odontología para modificar el rostro humano (IV). Dental Tribune Latin America 2022 (21 abril). Disponible en: D Suárez-Quintanilla. ¿Qué vamos a hacer con los muertos? Dental Tribune Latin America 2021 (4 junio). Disponible en: https://es.dental-tribune.com/news/el-misterio-del-hueso-alveolar-en-el-desarrollo-facial-5-2/
Jedliński M, Janiszewska-Olszowska J, Mazur M, Grocholewicz K, Suárez Suquía P, Suárez Quintanilla D. How Does Orthodontic Mini-Implant Thread Minidesign Influence the Stability?-Systematic Review with Meta-Analysis. J Clin Med. 2022 Sep 9;11(18):5304. doi: 10.3390/jcm11185304.PMID: 36142951.
Suárez-Quintanilla S, Suárez Suquía P. Acotaciones al uso de la Cefalometría. Dental Tribune Latin America 2025 (14 noviembre). Ver en: https://es.dental-tribune.com/news/acotaciones-al-uso-de-la-cefalometria/
La 82ª edición de Expo AMIC Dental reafirmó su posición como la mayor exposición dental del mundo hispanohablante, reuniendo a miles de odontólogos, ...
La inauguración del Congreso Nacional e Internacional de Odontología UNAM 2026, que se celebra paralalemente a Expo AMIC Dental, atrajo a las principales ...
La inauguración de la 82ª edición de Expo AMIC Dental ha puesto de manifiesto la creciente relevancia en la salud de este gran evento de la odontología....
To post a reply please login or register