La mayor concienciación social por la salud bucodental unido a los innegables progresos tecnológicos en el diseño digital y de nuevos materiales (aleaciones de última generación, polímeros más elásticos y resistentes o microimplantes) han popularizado los tratamientos de ortodoncia en todos los estratos sociales, ampliando su alcance hasta la tercera edad.
La estética y eficacia biomecánica de los nuevos materiales permiten hoy tratamientos de ortodoncia rápidos, confortables y eficientes. Gran parte del diseño digital de sonrisas o las rehabilitaciones orales en el adulto pasan hoy por un tratamiento de ortodoncia previo de mayor o menor duración.
Sin embargo, no hemos de olvidar que la etapa activa de tratamiento compromete, de forma temporal, la salud bucodental al modificar el ecosistema oral tanto por la presencia física de los aparatos como por el mayor acúmulo de placa bacteriana y los cambios cualitativos microbiológicos ampliamente demostrados en la literatura científica. No ser consciente de este riesgo temporal que los aparatos pueden producir en los portadores de los mismos (descalcificaciones, caries y gingivitis) puede llevar al traste los deseados objetivos de integridad, función y estética a que aspira todo tratamiento de ortodoncia. Los ortodoncistas han de ser muy conscientes de este hecho y han de poner todos los medios preventivos a su alcance para que este riesgo pasajero del tratamiento de ortodoncia no pase de ser simplemente eso, un riesgo, y no una realidad que comprometa la futura salud bucodental del paciente, el éxito clínico del profesional y el prestigio de la clínica, por no hablar de los conflictos legales que pudieran desprenderse de un manejo clínico negligente a la hora de mantener al paciente en salud durante el tratamiento de ortodoncia.
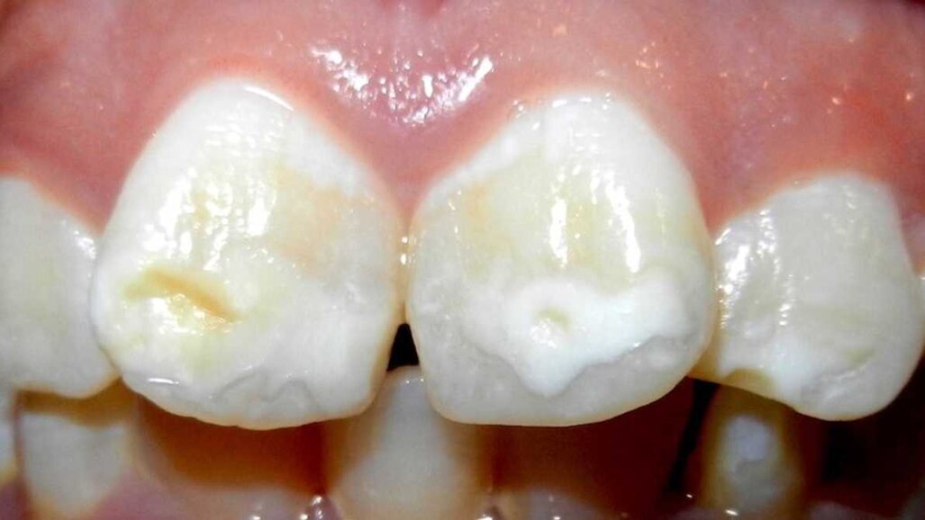
La mancha blanca, la descalcificación inicial que conduce de manera irreversible a la destrucción y cavitación del esmalte, se ha incrementado al ritmo que crecen los tratamientos de ortodoncia y los ortodoncistas necesitan hacer un alto en el camino para diagnosticarla a tiempo, prevenir y tratar de revertir su evolución. Dada su incidencia y prevalencia y las lagunas científicas existentes sobre la mejor manera de abordar su prevención y tratamiento, hemos creado un Grupo multidisciplinar de Expertos en el tema, bajo el auspicio de la compañía Colgate-Palmolive, para tratar de elaborar un libro blanco y los protocolos clínicos subsiguientes que den respuesta a todas aquellas preguntas que los ortodoncistas se hacen sobre este problema, intentando mejorar la información disponible en la actualidad al objeto de que el tratamiento de ortodoncia no solo sea más eficaz y seguro sino que represente un verdadero avance en la promoción integral de la salud bucodental. Decían los clásicos que solo se ve lo que se conoce y creemos que esta problemática no es detectada a tiempo por una evidente falta de información. Una gran parte de los profesionales detectan con horror la mancha blanca el día que se despegan los aparatos enfrentándose a un serio problema a la hora de explicar al paciente o sus padres las antiestéticas manchas que aparecen remarcando el espacio antes ocupado por los brackets. Es necesario, repito, aprender a ver, como decía Leonardo Da Vinci, conocer los primeros indicadores de riesgo de mancha blanca, es más, es necesario que el ortodoncista entienda que muchos de sus pacientes, bien por patología previa o simplemente por tener comprometida la higiene bucodental, deben de ser considerados de alto riesgo, de forma y manera que incrementen las medidas preventivas necesarias para que no aparezca ni se desarrolle la mancha blanca. No tenemos ninguna duda que esta patología y su mayor o menor incidencia en algunas clínicas es un parámetro que indica la calidad del equipo profesional. Si bien existe un vivo debate sobre cómo prevenir o revertir esta mancha blanca hay un acuerdo unánime tanto sobre la eficacia de las medidas para su prevención como de su bajo coste, máximo cuando lo comparamos sobre sus devastadores efectos sobre el mantenimiento en salud del paciente y nuestra imagen profesional.
Dr. David Suárez Quintanilla
Catedrático de Ortodoncia
Universidad de Santiago de Compostela
Documento de Consenso del I Advisory Board Español para la prevención y tratamiento de la mancha blanca cariosa en ortodoncia
Integrado por Dña Rosa Tarrago, Higienista bucodental de Atención primaria, sector Zaragoza III. Servicio Aragonés de Salud, las Dras. Yolanda Martínez, Profesor de Preventiva (Universidad de Murcia), Ascensión Vicente, Profesora de Ortodoncia (Universidad de Murcia), Laura Ceballos, Catedrática en el área de Odontología Conservadora (Universidad Rey Juan Carlos de Madrid) y los Dres. Elias Casals, autor de las Guidas Nacionales de Caries Nacionales y David Suárez Quintanilla, Catedrático de Ortodoncia (Universidad de Santiago de Compostela), el I Advisory Board para la prevención y tratamiento de la mancha blanca cariosa en ortodoncia, se reunió por primera vez el pasado El 16 de enero en Madrid para debatir sobre la prevención y tratamiento de la mancha blanca cariosa en ortodoncia, llegando a las siguientes conclusiones:
La lesión de mancha blanca dental, es un problema prevenible de importancia estética y funcional, que puede derivarse del tratamiento de ortodoncia.
- Su incidencia se atribuye, a la acumulación prolongada de biopelícula dentobacteriana, alrededor de la aparatología ortodóncica.
- Dicha acumulación, ocasiona desmineralización del esmalte dental. La mayoría de las lesiones son perceptibles como manchas opacas de color blanquecino reversibles en la mayoría de los casos. Si la lesión avanza puede provocar una destrucción irreversible con pérdida de tejido dental.
- Su etiología, deriva del efecto químico de productos metabólicos de deshecho, de bacterias acidógenas y acidófilas que, acumulados por periodos prolongados sobre el tejido del esmalte, generan la desmineralización, y pérdida subsecuente de sustancia dental calcificada.
- El número de pacientes tratados con ortodoncia para mejorar su sonrisa y función bucal se ha incrementado en la última década, especialmente con el aumento de pacientes de edad adulta así como la introducción de nuevas tecnologías como el tratamiento con alineadores dentales en un amplio número de clínicas dentales españolas.
Las prioridades establecidas por el Advisory Board para mejorar la prevención de la aparición de manchas blancas cariosas así como su manejo durante el tratamiento de ortodoncia son:
- Aumentar la concienciación de los profesionales de las clínicas dentales que realizan tratamientos de ortodoncia sobre el aumento de riesgo de caries que se produce así como la magnitud del problema de la lesión blanca de caries en estos tratamientos.
- Mejorar el conocimiento actual de los profesionales de la salud oral sobre la prevención y manejo de la lesión de mancha blanca cariosa en el paciente antes y durante el tratamiento de ortodoncia.
- Prevenir la aparición de las lesiones de mancha blanca cariosas mediante la promoción de la salud del paciente
- Mejorar la detección precoz de las lesiones de mancha blanca cariosas.
- Establecer como un criterio de excelencia en el tratamiento de ortodoncia la incorporación de la promoción de la salud oral como elemento clave para evitar las lesiones de manchas blancas cariosas.
- Elaborar material docente para mejorar la formación en relación a la prevención y manejo de las lesiones de mancha blanca de los profesionales de la salud oral.
- Elaborar material informativo para los pacientes que vayan a realizar un tratamiento de ortodoncia sobre el papel del autocuidado en la prevención de las lesiones de mancha blanca.
- Evaluar el conocimiento actual de los profesionales de la salud oral sobre la lesión de mancha blanca cariosa y su prevención mediante un cuestionario on-line
Este grupo multidisciplinar de experto, manifiesta por tanto su compromiso de trabajar para la consecución de estos puntos.
Madrid, febrero de 2020
Recursos
La Universidad de Santiago de Compostela y Ortho’Sup París lanzan un programa conjunto con formación clínica avanzada y enfoque europeo.
...
Ana Rodríguez toma el relevo de María José Sánchez, como nueva directora de EXPODENTAL, cuya próxima edición organizada por IFEMA MADRID en ...
La odontología estética ha evolucionado hacia un enfoque integral que combina función, biología y estética en un mismo plan terapéutico. En este ...
En las redes sociales se están anunciando paquetes de vacaciones que incluyen tratamientos dentales en tiempo récord, como carillas de composite, pero que...
El I Simposio Ortho360, celebrado en el Colegio de Odontólogos de Madrid, fue un evento que aunó la más selecta ortodoncia académica, con una nutrida ...
Dental Tribune presenta una serie de ocho artículos sobre Formación en Odontología, los cuales se reunirán posteriormente en una Edición Especial. La ...
Los autores abordan en este artículo uno de los grandes retos de la Ortodoncia: cómo mantener la estabilidad y la retención de los resultados tras el ...
David Suárez Quintanilla está realizando profundos cambios en la enseñanza de la Ortodoncia en el pregrado de la Universidad de Santiago de Compostela, ...
Segunda Parte
David Suárez Quintanilla está realizando profundos cambios en la enseñanza de la Ortodoncia en el pregrado de la Universidad de Santiago de...
El Profesor David Suárez Quintanilla aborda en este artículo los retos que plantea la formación en la Ortodoncia, el primero de los cuales requiere ...
Webinars en vivo
mar. 19 de mayo 2026
17:00 (CET) Madrid
Webinars en vivo
mar. 19 de mayo 2026
19:00 (CET) Madrid
Prof. Dr. med. dent. Ivo Krejci
Webinars en vivo
mié. 20 de mayo 2026
13:00 (CET) Madrid
Dr. Graham Carmichael BDSc (Hons), DClinDent (Pros), FRACDS, Dr. Robert Gottlander DDS
Webinars en vivo
mié. 20 de mayo 2026
15:00 (CET) Madrid
Webinars en vivo
mié. 20 de mayo 2026
17:00 (CET) Madrid
Webinars en vivo
mié. 20 de mayo 2026
19:00 (CET) Madrid
Prof. Dr. med. dent. Tim Joda PhD, MSc, eMBA
Webinars en vivo
jue. 21 de mayo 2026
18:00 (CET) Madrid
Dr. Leonardo Muniz DDS, MSC
To post a reply please login or register