Search Dental Tribune

Rehabilitación estética en la región posterior con implantes cerámicos

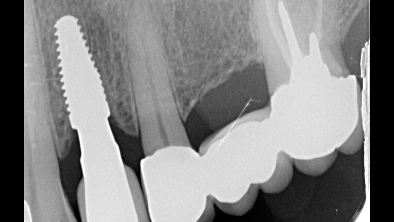
Situación inicial del caso clínico (arriba), colocación del implante Neodent Zi en la región 24 (derecha) e imagen radiográfica a los tres meses de la colocación de la corona (debajo a la izquierda).

jue. 7 septiembre 2023

guardar

Este caso clínico describe la rehabilitación estética de un paciente a quien se le colocó un puente y un implante de zirconio. La cirugía requirió realizar un colgajo para colocar el implante. A los tres meses se procedió a una cirugía secundaria para colocar el muñón de cicatrización, tras lo cual se colocó la corona y el puente y se realizaron ajustes oclusales. El paciente quedó satisfecho con el resultado estético proporcionado por esta rehabilitación con implantes libres de metal.

Anamnesis y examen clínico

Un paciente (masculino) de 40 años sin antecedentes de interés acude a nuestra clínica para cambiar un puente del diente 24 al 27 con una extensión en el diente 24.

En la evaluación inicial, después del diagnóstico, decidimos el siguiente plan de tratamiento: reemplazar el puente con una extensión de 25 a 27 por un puente de zirconio, y colocar un implante de zirconio en el diente 24.

Fig. 1. Situación inicial vista por CBCT.

Planificación

Tomamos una radiografía digital y una CBCT para ver si es posible hacer un implante en el área del diente 2.4.

Podemos observar un conducto radicular en el diente 27 sin lesiones apicales o intraóseas.

En el diente 24, se presenta una ausencia de anchura y altura suficiente para la implantación, sin atrofia.

Se observa una retención mucosa en el seno maxilar izquierdo.

El puente fue cementado con un cemento temporal, por lo que simplemente retiramos el puente y procedemos a la colocación del implante.

Protocolos quirúrgicos

Se administró anestesia local. Realizamos un colgajo y procedimos con el protocolo de perforación.

El protocolo de perforación siguió la secuencia recomendada por el fabricante para un tipo de hueso II, II: Broca Inicial, Broca Cónica 2.0, Broca Cónica 3.5, Broca Cónica 4.3, Broca Avellanadora y Broca para Hueso.

Fig. 2. Colocación del implante cerámico Neodent Zi en la región 24.

Se colocó el implante Neodent Zi 4.3 × 10 con un torque final de 45 N.cm. Colocamos un tornillo de cubierta y, después de la sutura, colocamos el antiguo puente con cemento temporal.

Esperamos tres meses para la cirugía secundaria y colocar el muñón de cicatrización 4,5 × 2,5.

Flujo de trabajo digital de la prótesis

Quince días después de la segunda cirugía, realizamos un escaneo con un scan body del implante y del puente de 25 a 27. La corona final se colocó sobre el muñón Zi Base de 3,75 × 4 × 2,5. Se colocó la corona y el puente y se realizaron ajustes oclusales.

Fig. 3. Situación radiográfica después de la colocación del implante.

Opinión profesional

¿Cuáles fueron las otras opciones de tratamiento? ¿Por qué elegir esta solución?

Teníamos otras dos opciones que explicamos al paciente: hacer un nuevo puente del diente 24 al 27 o colocar dos implantes en los dientes 24 y 26, y dos coronas en los dientes 26 y 25.

¿Cuáles fueron los desafíos durante el tratamiento y cómo se resolvieron?

El paciente deseaba una solución libre de metal, ya que años atrás optó por el puente debido a que no quería tener un implante de titanio. Vino a nuestra clínica en busca de una solución cerámica.

Fig. 4. Situación radiográfica después de la colocación de la corona final, seguimiento de tres meses.

Conclusión

Los consejos clínicos aquí para el uso de este sistema de implantes son seguir estrictamente el protocolo de perforación recomendado por el fabricante. Para lograr esto, se requiere prestar un poco más de atención en identificar el tipo de hueso con el que estamos trabajando para seguir la perforación correcta y aplicar un torque por encima del recomendado.

Este tipo de implantes constituye una herramienta más para satisfacer las expectativas de los pacientes que prefieren que se les coloquen implantes libres de metal.

____________________________________________________________________________________________________________________________

AUTOR

El Dr. Olivier Chéron, Especialista en Implantología y en implantes cerámicos, ejerce en Barcelona, donde es co-director del Club ITI Barcelona, co-fundador de la Clínica Dental Equilibria y Miembro de AFNOR.

Artículos relacionados

• Neodent celebra 30 años de historia

• Rehabilitación estética en la región posterior con implantes cerámicos

Congreso SECIB Córdoba 2023: inscríbase para disfrutar de clínica y cultura

 

Ver Edición sobre Cáncer Oral de Dental Tribune España

 

To post a reply please login or register
advertisement
advertisement