Search Dental Tribune

El tratamiento de las bolsas periodontales con un hidrogel de colágeno

Figura 1. El hidrogel de colágeno H42 se presenta en jeringas equipadas con un accesorio luer lock macho para ser acoplado a la aguja más adecuada. (Foto: Bioteck Spa)
Giacomo Tarquini

Giacomo Tarquini

Giulio Papa

Giulio Papa

Nicola De Rosa

Nicola De Rosa

mar. 13 junio 2023

guardar

Este artículo presenta 10 casos clínicos de tratamiento no quirúrgico de bolsas periodontales. En todos los casos, se aplicó un nuevo hidrogel de colágeno tras el desbridamiento y alisado radicular de los elementos implicados utilizando insertos ultrasónicos específicos y curetas manuales. Los tratamientos fueron muy efectivos para eliminar bolsas periodontales.

Los 10 pacientes tratados no tenían enfermedades sistémicas y presentaban los siguientes parámetros periodontales: una profundidad de bolsa (PPD) media de 7,4±1,2 mm, un índice de placa (IP) medio de 1,7±1 y un CAL de 7,8±1,4 mm. Tras el desbridamiento mecánico, la zona se mantuvo seca durante la aplicación del hidrogel, que se extruyó directamente de la jeringa a través de una aguja adecuada, comenzando desde el fondo de la bolsa y llenándola hasta rellenar el defecto. En este punto, el sitio se mantuvo seco durante 5 minutos utilizando un aspirador quirúrgico y el paciente fue dado de alta sin ninguna restricción en la higiene oral y la nutrición. Los pacientes tratados de esta forma mostraron una aceleración de la cicatrización de los tejidos gingivales y una reducción de la inflamación tisular, ya a los 7 días.

El seguimiento a los 90 días mostró una mejora en todos los parámetros periodontales, con una reducción de la PPD de unos 4 mm, del PI a 1,2 y del CAL a unos 2,5 mm.

Introducción

La periodontitis es una enfermedad inflamatoria crónica multifactorial que afecta aproximadamente a 150 millones de personas en Europa1. Su causa desencadenante es la acumulación de biofilm bacteriano que, junto con la respuesta inmunitaria del organismo, conduce al desprendimiento progresivo del epitelio gingival del diente2,3. Esto provoca la formación de bolsas periodontales y el consiguiente daño en el hueso alveolar, una afección que si no se trata adecuadamente puede conducir a la pérdida de los dientes afectados4.

Para prevenir y detener la progresión de la enfermedad periodontal, el primer paso es el tratamiento no quirúrgico mediante el tallado de las raíces para eliminar las bacterias y la placa formada. Este procedimiento se considera el estándar de oro de la terapia periodontal no quirúrgica5 y favorece la cicatrización de las bolsas.

Sin embargo, es frecuente observar un recrudecimiento de la infección y, por tanto, la necesidad de un tratamiento adicional. Esto ha llevado al uso de productos coadyuvantes que se aplican tras el desbridamiento mecánico, como antibióticos y sustancias bactericidas. Aunque estos procedimientos han demostrado ser superiores al tratamiento mecánico por sí solo, en el caso de los antibióticos existe un problema relacionado con el desarrollo de bacterias resistentes y los posibles efectos secundarios; en cuanto a las sustancias bactericidas, como la clorhexidina, hay que destacar que también pueden tener efectos negativos sobre la flora bacteriana oral y crear así una disbiosis que puede favorecer la aparición de enfermedades dentales6.

El objeto de este artículo es evaluar los resultados clínicos obtenidos en 10 pacientes tras la utilización de un nuevo hidrogel de colágeno como complemento del tratamiento mecánico de las bolsas periodontales con el fin de prevenir la recolonización bacteriana y favorecer la cicatrización de los tejidos.

Casos clínicos

Los 10 pacientes no tenían ninguna enfermedad sistémica y padecían periodontitis, con una gravedad que oscilaba entre el grado II y el grado IV. Nueve bolsas periodontales eran intraóseas, mientras que otra bolsa estaba asociada a una lesión endoparodontal. Los parámetros periodontales iniciales fueron: profundidad de bolsa (PPD) = 7,4±1,2 mm, nivel de inserción clínica (CAL) = 7,8±1,4 mm e índice de placa (IP) = 1,7±1.

Se evaluó la inflamación de los tejidos de las zonas tratadas en una escala de 1 a 4, subdividida del siguiente modo: 1 (muy inflamado), 2 (moderadamente inflamado), 3 (inflamación leve), 4 (tejido no inflamado). En la primera visita, el nivel de inflamación se distribuyó de la siguiente manera: 4 pacientes presentaban un alto grado de inflamación, 3 pacientes un grado medio, 2 pacientes un grado leve y 1 paciente no presentaba inflamación.

El dolor percibido por el paciente se midió mediante la escala NRS (escala del 1 al 10) y en la primera visita fue de una media de 3,9 ± 2,4.

También se realizaron controles para evaluar el estado de cicatrización de los tejidos blandos utilizando una escala del 1 al 4 de la siguiente manera: 1 (sin cicatrización), 2 (capa de fibrina visible), 3 (cicatrización avanzada), 4 (tejido cicatrizado).

Todos los pacientes fueron sometidos inicialmente a raspado subgingival y alisado radicular utilizando insertos ultrasónicos específicos y curetas manuales. Posteriormente, las bolsas se rellenaron con un nuevo hidrogel de colágeno en una jeringa (H42, Bioteck Spa, Arcugnano - Vicenza) (Fig. 1) contiene colágeno tipo I, polímeros de alto peso molecular y cantidades auxiliares de vitamina C para optimizar la reología. El producto se aplicó utilizando agujas romas para irrigación de bolsas periodontales con Gauge entre 20 y 25, comenzando desde el fondo de la bolsa periodontal hasta que se llena por completo (Fig. 2).

Figura 2. El H42 se aplica desde el fondo de la bolsa periodontal hasta llenarla por completo.

Durante la extrusión del producto y los 5 minutos siguientes (tiempo de "fraguado"), la zona se mantuvo seca mediante succión quirúrgica. Durante este tiempo, el producto se volvió más pegajoso, manteniendo al mismo tiempo un aspecto líquido, de modo que se optimizó la adhesión a los tejidos conjuntivos. En los días posteriores al tratamiento, los pacientes no tuvieron que observar ninguna precaución especial en la higiene dental ni en la dieta.

Los controles cualitativos (nivel de inflamación, nivel de cicatrización de los tejidos y dolor) se realizaron semanalmente durante el primer mes y después a los 3 meses.

Se realizaron mediciones periodontales en los controles de 30 y 90 días.

A los 7 días de seguimiento, el grado de inflamación había disminuido: 4 pacientes estaban libres de inflamación, 5 pacientes tenían un grado de inflamación leve y sólo uno tenía un grado de inflamación medio. 7 pacientes presentaban un grado avanzado de cicatrización tisular, mientras que en 3 pacientes los tejidos estaban completamente cicatrizados. El dolor era casi inexistente en todos los pacientes (media NRS 1,7 ± 1,3).

El seguimiento posterior a los 14 días mostró una mayor reducción de la inflamación, con 8 pacientes libres de inflamación y 2 pacientes con inflamación leve. La cicatrización de los tejidos también mostró una mejora adicional: 5 pacientes se encontraban en una fase de cicatrización avanzada y 5 estaban completamente cicatrizados. Asimismo, el dolor desapareció por completo en todos los pacientes (NRS 1).

El seguimiento a 30 días mostró que los tejidos de todos los pacientes estaban cicatrizados y libres de inflamación. Los parámetros periodontales también habían mejorado: PPD en 4,8 ± 1,5 mm, CAL en 6,5 ± 2,6 mm y PI en 1,4± 2. En ningún caso se observó una recurrencia de la infección.

El seguimiento a los 90 días mostró una mejora adicional de los parámetros periodontales: la PPD disminuyó a 3,7 ± 1,2 mm, la CAL disminuyó a 5,5 ± 2,5 mm y el PI fue de 1,2 ± 0,8. En ningún caso se observó una recurrencia de la infección.

En las figuras 3-8 se presenta un caso clínico que ilustra lo anterior.

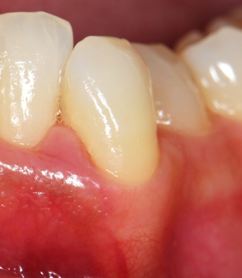
Figura 3. Vista frontal del defecto inicial. Los tejidos aparecen edematosos, la papila interdental está hinchada y despegada de las superficies de los dientes contiguos.

Figura 4. Sondaje periodontal. PPD de 6 mm y CAL de 7 mm para el diente 33.

Figura 5. Fase de fraguado del hidrogel de colágeno H42. La zona debe mantenerse seca durante 5 minutos tras la aplicación para favorecer la adhesión del tejido. El producto se coloca hasta llenar completamente la bolsa, hasta que rebalse.

Figura 6. Vista oclusal del defecto tratado a los 7 días de seguimiento. Obsérvese la ausencia de inflamación y el tejido cicatrizado.

Figura 7. Vista frontal del defecto tratado a los 30 días de seguimiento. Los parámetros periodontales mejoraron: PPD de 3 mm y CAL de 4 mm. El aspecto clínico de los tejidos mejoró significativamente (A). El edema de la fase inicial ha remitido y se observa una depresión en el centro de la papila, lo que indica un estado avanzado de cicatrización (B).

Figura 8. Vista oclusal del defecto tratado a los 90 días de seguimiento (A). La papila ha cicatrizado con la retracción tisular resultante de la reducción de la profundidad de la bolsa. La profundidad de la bolsa se redujo aún más: PPD en 2 mm y CAL en 4 mm (B).

Conclusiones

La periodontitis es una enfermedad inflamatoria multifactorial causada por el biofilm sintetizado por bacterias patógenas que desencadena una respuesta inmunitaria que daña progresivamente el epitelio conectivo. Esto conduce a la formación de bolsas periodontales y a la posible afectación del hueso alveolar. Por lo tanto, es importante intervenir precozmente para detener la progresión de la enfermedad periodontal y fomentar la regeneración natural de los tejidos.

El procedimiento estándar implica el desbridamiento mecánico para eliminar el biofilm bacteriano5, que provoca una inflamación que daña el tejido gingival. Sin embargo, uno de los retos más difíciles es mantener limpio el lugar tratado sin perturbar el proceso regenerativo natural, que tarda unas 4 semanas en completarse7,8. Varios productos de acción local ejercen su función mediante antibióticos y/o sustancias bactericidas que, aunque son eficaces contra la reinfección bacteriana, pueden interferir en el proceso natural de regeneración de los tejidos.

Por otra parte, el colágeno es la proteína que compone la mayoría de los tejidos conectivos (incluido el tejido gingival) y su suministro proporciona un andamiaje para la proliferación de fibroblastos y células implicadas en la regeneración del tejido periodontal.

Esta serie de casos muestra que el uso del nuevo hidrogel de colágeno H42 compuesto de colágeno de tipo I, polímeros de alto peso molecular y cantidades auxiliares de vitamina C, es eficaz para promover la cicatrización de la bolsa periodontal, reduciendo la profundidad de la bolsa en unos 4 mm, disminuyendo la CAL en unos 2,5 mm y reduciendo el índice de placa a aproximadamente 1 hasta los 3 meses de seguimiento.

Además, se observó una aceleración de la cicatrización tisular, así como una reducción de la inflamación, solo 7 días después de la aplicación de H42. El hidrogel ejerció su función oclusiva, impidiendo la recolonización bacteriana y, al mismo tiempo, el colágeno proporcionó el andamiaje necesario para que los fibroblastos colonizaran el defecto y promovieran la regeneración del epitelio gingival alrededor del diente, cerrando así las bolsas periodontales. No se observaron efectos secundarios.

__________________________________________________________________________________________________________________________________

Autores

  1. El Dr. Nicola De Rosa es un odontólogo que ejerce en Nápoles.
  2. El Dr. Giulio Papa es un odontólogo que ejerce en Caserta.
  3. El Dr. Giacomo Tarquini es un odontólogo que ejerce en Roma.

Bibliografía

  1. Kassebaum NJ, et al. Global burden of severe periodontitis in 1990-2010: a systematic review and meta-regression. J Dent Res 2014;93(11):1045-1053.
  2. Slots J. Periodontitis: hechos, falacias y futuro. Periodontol 2000 2017;75(1):7-23.
  3. Papapanou PN, et al. Periodontitis: informe de consenso del grupo de trabajo 2 del Taller Mundial 2017 sobre la Clasificación de las Enfermedades y Afecciones Periodontales y Periimplantarias. J Periodontol 2018;89 Suppl 1:S173-S182.
  4. Kwon T, et al. Conceptos actuales en el tratamiento de la periodontitis. Int Dent J 2021;71(6):462-476.
  5. Loesche WJ & Grossman NS. La enfermedad periodontal como infección específica, aunque crónica: diagnóstico y tratamiento. Clin Microbiol Rev 2001;14,(4):727-752, índice.
  6. Chatzigiannidou I, et al. Oral biofilms exposure to chlorhexidine results in altered microbial composition and metabolic profile. NPJ Biofilms Microbiomes 2020;6(1):13.
  7. Fraser D, et al. Periodontal Wound Healing and Regeneration: Insights for Engineering New Therapeutic Approaches. Front Dent Med 2022.
  8. Christgau M, et al. Extracellular matrix expression and periodontal wound-healing dynamics following guided tissue regeneration therapy in canine furcation defects. J Clin Periodontol 2007;34(8):691-708.

 

To post a reply please login or register
advertisement
advertisement