Los autores presentan a continuación cinco casos clínicos diferentes sobre dientes supernumeraros en pacientes menores.
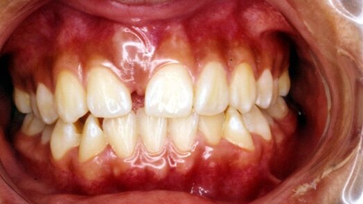
Caso 1 Paciente de sexo femenino de 12 años de edad que presenta diastema antero superior. A la palpación se oberva aumento de volumen en zona vestibular a nivel de línea media. Se toma rx panorámica y periapical, en la que se evidencia diente supernumerario mesiodens a nivel de piezas 11y 21.
Tratamiento
Se realiza colgajo vestibular, extracción de supernumerario y se finaliza con una sutura discontinua.
Caso 2 Paciente de sexo femenino de 11 años de edad acude a consulta debido a la ausencia de la pieza 21, se observa giroversión de pieza 22. Al examen radiográfico se evidencia presencia de supernumerario y al examen de localización se encuentra en tabla ósea palatina.
Tratamiento
Se realiza colgajo palatino y vestibular para poder tener una mejor visión, se realiza la extracción del supernumerario mediante osteotomía, sutura discontinua y se coloca una placa de contención palatina como protección de colgajo.
Caso 3Paciente de sexo masculino de 9 años de edad. Al examen clínico se observa presencia de supernumerario entre piezas 11 y 21 y al examen radiográfico y examen de localización se evidencia la presencia de otro supernumerario en tabla ósea palatina.
Tratamiento
Se procede con la extracción del diente erupcionado, posteriormente se realiza un colgajo palatino y vestibular para tener mejor visión, se realiza el abordaje por palatino, osteotomía, avulsión de diente supernumerario y sutura discontínua.
Caso 4Paciente de sexo masculino de 9 años de edad con presencia de diente supernumerario intraóseo, evidenciado radiográficamente entre piezas 55 y 54.
Tratamiento
Abordaje quirúrgico por palatino, se extrae supernumerario y pieza 54 por movilidad grado 3 y reabsorción radicular total, sutura discontinua y se coloca una placa de contención palatina por 7 días, como protección de colgajo.
Caso 5Paciente de sexo masculino de 9 años de edad acude a consultorio dental por tratamiento integral, al examen radiográfico se evidencia la presencia de un diente supernumerario a nivel de pieza 25.
Tratamiento
Se realiza un colgajo por palatino, osteotomía, exodoncia y sutura discontinua, finalmente se coloca una placa de contención palatina como protección de colgajo.
Consulte caso clínico y artículo completo en la edición digital____________________________________________________________
El objetivo de este artículo es revelar el lenguaje microscópico y bioquímico oculto en los dientes, un lenguaje realmente extraordinario que nos permite...
La empresa de tecnología médica W&H llama a los dentistas a contribuir en la campaña internacional #dentalsunited con cualquier gesto para mejorar el...
Las tomografías de momias egipcias están reescribiendo lo que creíamos saber sobre la salud bucal en el Antiguo Egipto. Detrás del esplendor de estas ...
Formación
Webinars en vivo jue. 28 de mayo 2026 18:00 (CET) Madrid
Dentsply Sirona ha ampliado la oferta lingüística de su plataforma de formación en línea DS Academy Campus. Además de los seminarios web en directo y ...
Barranquilla se convirtió durante tres días en el epicentro de la odontología digital latinoamericana con la celebración del Dental Summit CoLife 2026, ...
To post a reply please login or register