La estética ha sido definida como la rama de la ciencia y/o del arte que se encarga del estudio de la belleza, y esta su vez como el conjunto de condiciones armónicas que presenta alguien o algo que lo hace agradable a quien lo observa.
Vale decir que la estética es armonía entre los elementos que conforman un todo, en el caso de la odontología la estética bucal esta dada por la armonía entre los dientes, las encías y los labios.
Son muchos los procedimientos utilizados para mejorar el aspecto bucal de nuestros pacientes. Dentro de ellos tenemos el clareamiento dental, la microabrasion, la ameloplastia y los procedimientos de operatoria dental y prótesis bucal. En los procedimientos de operatoria y prostodoncia lo que hacemos es manejar materiales artificiales y darle las condiciones para que parezcan naturales.
Básicamente nos referiremos en este trabajo a los procedimientos indirectos a realizar en el sector anterior para mejorar la estética de nuestros pacientes, y dentro de ellos puntualmente nos enfocaremos en las coronas cerámicas.
Fundamentalmente las coronas utilizadas en el área anterior son de los siguientes tipos:
1. Coronas métalo cerámicas convencionales.
2. Coronas métalo cerámicas con margen en porcelana.
3. Coronas cerámicas sin metal.
4. Coronas en ceromeros sin metal.
5. Combinaciones de los materiales anteriores.
Evidentemente cada una de ellas tiene sus indicaciones académicas precisas. En el caso de las coronas cerámicas libres de metal estas están indicadas cuando hay una gran demanda estética y los dientes antagonistas son “duros”. Nos referimos con este término a dientes antagonistas naturales o en cerámica.
Otra indicación es en aquellos casos donde el paciente por alguna razón presenta “metalofobia”. Es preciso señalar que estas restauraciones están contraindicadas en los casos de hábitos oclusales patológicos como el apretamiento dental o el bruxismo, así como en algunos deportes “rudos”.
En líneas generales el desgaste requerido durante el tallado del pilar es de 1.5 mms aproximadamente y con el se debe generar un “paralelismo” del muñón de unos 10 a 15 grados de convergencia incisal. Los ángulos de la preparación deben ser redondeados y la línea de terminación cervical será en hombro recto o chamfer, dependiendo del sistema cerámico a utilizar.
El nivel de terminación puede ser al ras de encía o ligeramente por debajo de esta, teniendo presente que el munon no presente un color desagradable, sea este un muñón natural o artificial.
Hoy son muchos los sistemas comerciales a base de cerámica libre de metal que existen en el mercado. Puntualmente en el caso que nos ocupa, coronas anteriores, es la cofia o coping quien se realiza en una cerámica de alta resistencia, y luego esta es cubierta por una porcelana feldespática con refuerzos que pueden mejorar su estética o resistencia mecánica como son las estructuras a base de leucita o fluorapatita.
Los materiales utilizados para confeccionar esas infraestructuras de ceramicas altamente resistentes son: compuestos a base de alumina infiltrada con vidrio, a base de disilicato de litio, a base de oxido de zircornio estabilizado con itrio, entre otros.
Básicamente la tendencia actual para fabricar los casquetes esta dirigida a la utilizacion de sistemas termoinyectados o a la utilización del sistema de diseño y manufactura computarizados (CAD-CAM).
En el primer caso, y a través de un proceso similar al de la técnica de la cera perdida, se funden en el horno para estos fines las pastillas de cerámica feldespática con alto contenido de leucita o de disilicato de litio, y se inyecta a presión esta masa para crear así el coping o infraestructura cerámica sin metal. Mas tarde mediante un proceso arteasanal o de sobreinyeccion se coloca la porcelana de cobertura.
En la segunda técnica tomamos una impresión digital de la reparación en boca o escaneamos un modelo de trabajo para mas tarde llevar la información a la computadora y mediante un programa especial para estos fines, corregir los detalles y ordenar a un “robot” que talle la cofia a partir de un bloque de disilicato de litio o zircornia.
Otro sistema confecciona una cofia porosa en cerámica a base de alto contenido de alumina y mas tarde la infiltra con vidrio, obteniéndose así un casquete altamente resistente.
A cuales quiera de estas cofias luego se le monta la cerámica de recubrimiento estético.
La cementacion de estas coronas puede ser de tipo convencional o adhesiva. Dependiendo del tipo de fijación, será el tipo de preparación de la parte interna de la cofia. Es importante saber que las estructuras de alto contenido de alumina no debe ser grabada, ya que el acido daña su interior. En el caso de la zircornia, este, no le otorga ninguna condición especial.
Cuando se utilizan cerámicas gravables, como las de feldespato o disilicato de litio, el tiempo a grabar dependerá de la información del fabricante. En líneas generales las primeras se graban por dos o tres minutos y las otras por unos 20 segundos con acido fluorhídrica al 10%.
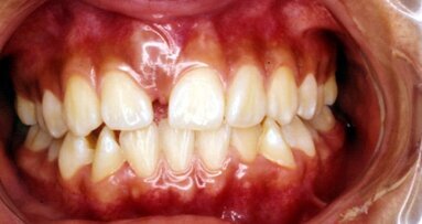
Caso clinico
- Paciente femenino.
- anos de edad.
- Condiciones generales de salud medica buenas.
- Problemas estéticos sector anterior.
- Endodoncia y perno metálico en el 22.
Plan de tratamiento:
- Cuatro coronas en Zircornia.
embedImagecenter("Imagecenter_1_1159",1159, "large");
Este articulo fue publicado en Dental Tribune Nº 3 - 2013
MADRID — El nuevo libro del Dr. Augusto Morillo, uno de los principales expertos en la Odontología Estética actual, nos muestra el ...
Los autores presentan a continuación cinco casos clínicos diferentes sobre dientes supernumeraros en pacientes menores.
La demanda de tratamiento ortodóncico ha aumentado en los últimos años en la población adulta. La valoración de la ...
El Dr. Orlando Alvarez, Magister en Rehabilitación Oral sobre Implantes y Profesor Adjunto de la Especialización en Implantología Buco-Maxilo-Facial en ...
La principal exposición de la odontología de España, que se celebrará del 11 al 13 de marzo de 2026, estrena cambio de fechas a días laborables, ...
La estética ha permeado muchos aspectos de la vida humana, incluido el ámbito médico y el odontológico. Las redes sociales están imponiendo nuevos ...
El Dr. Fernando Autrán Mateu impartirá un webinar gratuito el martes 11 junio, 19:00 CEST (hora de Madrid) para discutir un tema vital en la odontología:...
Los resultados del ensayo clínico han sido presentados en la Reunión Anual de 2026 de la Asociación Americana para la Investigación del Cáncer, ...
La incorporación de workflows 100% digitales ha transformado profundamente la forma en que los profesionales planifican, ejecutan y comunican sus ...
Hablamos con el experto en odontología digital Dr. Ahmad Al-Hassiny, fundador del Institute of Digital Dentistry, que analiza el impacto real de ...
Webinars en vivo
jue. 30 de abril 2026
1:00 (CET) Madrid
Dr. Renato Leonardo D.M.D.
Webinars en vivo
jue. 30 de abril 2026
19:00 (CET) Madrid
Webinars en vivo
dom. 3 de mayo 2026
18:00 (CET) Madrid
Dr. Rickard Brånemark MSc, MD, PhD, Dr. Robert Gottlander DDS
Webinars en vivo
lun. 4 de mayo 2026
2:00 (CET) Madrid
Webinars en vivo
mar. 5 de mayo 2026
16:00 (CET) Madrid
Webinars en vivo
mar. 5 de mayo 2026
18:00 (CET) Madrid
Webinars en vivo
mar. 5 de mayo 2026
19:00 (CET) Madrid
Dr. Maximilian Dobbertin M.Sc
To post a reply please login or register