El Dr. Yassine Harichane, del grupo de Estudio en Odontología Cosmética de la Universidad de París, propone una técnica para revertir los efectos del paso del tiempo en las dentaduras de nuestros pacientes y devolverles las sonrisas de su juventud.
Viajar en el tiempo son palabras que suenan raro en un artículo sobre odontología, pero que son una realidad diaria para los profesionales de la salud. El envejecimiento concierne a todos los pacientes, que ven cómo su cuerpo se deteriora y quieren retroceder en el tiempo para recuperar su juventud perdida. Esto es aún más cierto en la odontología, donde los dentistas a menudo tenemos que tratar a pacientes que padecen patologías que son destructivas en el tiempo, como las caries, el desgaste dental y las enfermedades periodontales. Los pacientes a menudo desean recuperar sus sonrisas originales, que han sido modificadas gradualmente por el tiempo y los acontecimientos de la vida. El profesional de la salud debe entonces demostrar ingenio técnico y clínico para restaurar la situación inicial, recuperando la forma, el color y la posición originales de las estructuras bucales.
En este artículo, retrocederemos en el tiempo para describir un caso clínico al revés y mostrar que el éxito terapéutico se logra cuando el resultado final se convierte en un nuevo comienzo para el paciente.
Caso clínico
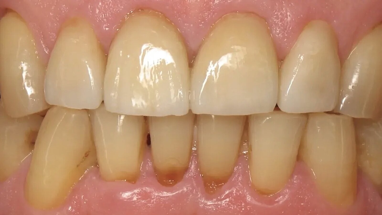
La Figura 1 muestra una situación clínica en la que el paciente puede sonreír literal y figurativamente. Los dientes tienen una forma, posición y color armoniosos a pesar de defectos menores como las lesiones cervicales de los incisivos mandibulares. También hay buena salud periodontal, ya que no se aprecia placa ni gingivitis. Lo que el lector está lejos de sospechar es que esta situación final corresponde a la colocación de cuatro coronas en los dientes # 12-22. La Figura 2 nos muestra de cerca la calidad de las restauraciones y el cuidado del técnico dental en la producción de estas coronas. De hecho, la anatomía es armoniosa y no deja triángulos negros en las papilas gingivales. Además, el tono es natural, la saturación aumenta gradualmente desde el borde incisal hasta la región cervical. El protésico añadió un sutil toque de tinte ocre en líneas verticales. Se ha prestado especial atención a este caso clínico porque el resultado superó las expectativas del paciente.
Captadas tres días antes, las Figuras 3-5 muestran el anidamiento, utilizando el software Zirkonzahn.Nesting, de un disco de circonio policromático (Prettau 4 Anterior Dispersive, Zirkonzahn). Se utilizó este material para estas coronas con el fin de proporcionar una longevidad sustancial gracias a su resistencia a la flexión y una buena estética obvia debida a su alta translucidez. La elección de este material fue fundamental en esta indicación de restauraciones anteriores, en que se buscaba una alternativa al disilicato de litio. El lector tendrá que esperar a retroceder en el tiempo para comprender esta alternativa.
El tercer día de la 82ª edición de Expo AMIC Dental confirmó el enorme dinamismo de la industria odontológica en México, con pasillos llenos, intensa ...
La 82ª edición de Expo AMIC Dental reafirmó su posición como la mayor exposición dental del mundo hispanohablante, reuniendo a miles de odontólogos, ...
La inauguración del Congreso Nacional e Internacional de Odontología UNAM 2026, que se celebra paralalemente a Expo AMIC Dental, atrajo a las principales ...
To post a reply please login or register