Search Dental Tribune

Estética y blanqueamiento dental en la era digital (Capítulo 4)

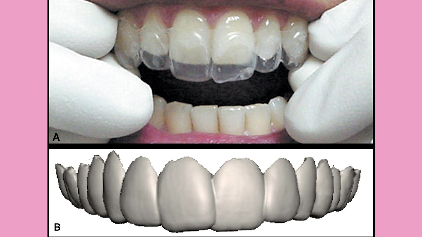
Figura 1. En el blanqueamiento dental ambulatorio se utilizan concentraciones bajas de agente blanqueador que no implican riesgo para el paciente. En la imagen superior, blanqueamiento con cubeta analógica (A) y en la imagen inferior con cubeta diseñada digitalmente (B).
Kohen, de Franceschi, Rodríguez, Varas

Kohen, de Franceschi, Rodríguez, Varas

dom. 25 agosto 2024

guardar

Este es el resumen del cuarto capítulo del libro Estética y blanqueamiento dental en la era digital”, escrito por Sergio Kohen, Agustín Varas y Enrique Jadad. En este apartado, los autores del capítulo describen los procedimientos de blanqueamiento externo ambulatorio y de blanqueamiento profesional en el consultorio dental, los cuales siempre deben basarse en el conocimiento de la etiología de la decoloración para realizar el diagnóstico correcto.

Capítulo 4. El blanqueamiento  externo

El blanqueamiento externo consiste en la aplicación del peróxido en distintas concentraciones sobre la superficie externa de una o más piezas dentarias con el objetivo de lograr un aclaramiento del color dentario original sin producir efectos secundarios sobre los tejidos. Es un tratamiento conservador que restaura la estética dental perdida en dientes pigmentados o manchados, como consecuencia de agentes etiológicos extrínsecos. Estos son factores agresivos que, en algunos casos, si no se controlan, pueden modificar sustancialmente el color natural de las piezas y derivar en la inseguridad de quien no se atreve a sonreír.

El color que presenta un objeto tiene relación directa con la cantidad y longitud de las ondas de luz incidentes que son reflejadas y absorbidas por él. La constitución de cadenas moleculares complejas y largas dentro de la estructura dentaria es la responsable de un aumento en el índice de absorción de la luz del diente, lo que da lugar a su oscurecimiento. Es sobre estas moléculas sobre las que actúa el blanqueador.

Este capítulo describe los pasos clínicos de cada técnica, así como a las precauciones y pronóstico de cada una y los distintos productos comerciales disponibles.

Un profundo conocimiento de la etiología de la decoloración es importante para arribar a un correcto diagnóstico, a partir del cual se puede planear un tratamiento, con relación a dosis, duración y estableciendo el pronóstico. Sin embargo, es el confort del paciente y la disponibilidad de tiempo para dedicarle al tratamiento, lo que va a determinar la elección de la técnica a emplear. La misma puede variar desde el uso de cubetas durante ocho horas diarias (ambulatorio) hasta los tratamientos profesionales. Esto es posible dado que el resultado final alcanzado es independiente de la técnica empleada.

Figura 2. El blanqueamiento profesional se lleva a cabo en el consultorio dental utilizando altas concentraciones de agente blanqueador. En la imagen, aislamiento absoluto de los dientes para proteger al paciente.

El presente capítulo explica detalladamente las distintas técnicas que se utilizan actualmente para el blanqueamiento externo. Como toda técnica, se enumeran las indicaciones y contraindicaciones de cada una de ellas, así como las maniobras previas que tiene en común y la importancia de cada una. Se vuelve a resaltar la importancia del correcto diagnóstico etiológico de las pigmentaciones para lograr un tratamiento exitoso.

Las dos grandes categorías del blanqueamiento externo son: el blanqueamiento ambulatorio y el blanqueamiento profesional.

El blanqueamiento ambulatorio es el que realiza el paciente en su casa utilizando una cubeta personalizada y supervisado periódicamente por el profesional. En esta técnica se utilizan concentraciones bajas de agente blanqueador (peróxido de carbamida inferiores al 30% o concentraciones de peróxido de hidrógeno inferiores al 9%) que no implica un riesgo para el paciente, por lo que puede utilizarla fuera del consultorio siendo monitoreado y capacitado por el profesional para su uso. La técnica consiste en la utilización de cubetas para man­tener el agente blanqueador en contacto con la superficie a blanquear, en general de uso nocturno, ocho horas aproximadamente, o diurno al menos durante tres horas.

Para llevar a cabo esta técnica es indispensable la fabricación de una cubeta plástica o férula para la contención del material blanqueador durante su uso. En el capítulo se explica detalladamente como confeccionarla, tanto de la manera tradicional (con el modelo de yeso) como de forma digital (mediante programas de diseño).

Portada del libro "Estética y blanqueamiento dental en la era digital", que ofrece respuestas clínicas basadas en años de investigación.
Toque en la imagen para adquirir el libro.

El blanqueamiento profesional es el que se lleva a cabo utilizando altas concentraciones de agente blanqueador. Una de las opciones es utilizando las mismas cubetas que se utilizan para el blanqueamiento ambulatorio con concentraciones de peróxido de carbamida mayores al 30% o concentraciones de peróxido de hidrógeno entre el 9 y el 12%. Esta modalidad de tratamiento debe ser con monitoreo constante del profesional (idealmente) o con el paciente en la sala de espera por un lapso de 40-90 minutos según el material y la concentración que se utilice.

El blanqueamiento profesional sin cubeta es la técnica de elección cuando lo que se busca es transferir la responsabilidad del tratamiento al profesional. Consiste en la utilización de un peróxido de alta concentración (peróxido de hidrógeno mayor al 30%) aplicado directamente sobre la superficie dentaria. Es también una técnica más directa y rápida que la ambulatoria, aunque los resultados a mediano plazo no sean significativamente diferentes.

Ambas técnicas (ambulatoria y profesional) pueden combinarse ambos, disminuyendo de esta manera el tiempo de uso y la sensibilidad. Consiste en realizar una visita semanal al odontólogo para realizar el tratamiento profesional y complementarlo diariamente con el uso ambulatorio.

Durante todo el capítulo se hace referencia a los pasos clínicos que implican a cada técnica, así como a las precauciones y pronóstico de cada una y los distintos productos comerciales disponibles. También se sugiere una dieta para mejorar los resultados del tratamiento y se resalta la necesidad e importancia tanto de la remoción de la placa bacteriana en forma periódica, como de la disminución de la ingesta de factores pigmentarios, para evitar la recidiva del color y como prolongar los objetivos logrados.

Conclusiones

El blanqueamiento externo es una técnica segura y eficiente para tratar de forma conservadora las pigmentaciones dentarias. Es necesario conocer las diferentes técnicas existentes para lograr la mayor satisfacción del paciente.

NOTA: Ver el próximo lunes el Capítulo 5: El blanqueamiento externo profesional.

Autores

Sergio Gustavo Kohen. Profesor Adjunto, Cátedra de Odontología Integral Adultos, Facultad de Odontología UBA, Docente de la Facultad de Odontología de la Universidad de Buenos Aires. Profesor de postgrado de la Universidad del Salvador y AOA.

Carla De Franceschi. Jefe de Trabajos Prácticos de la Cátedra de Odontología Integral Adultos, FOUBA. Docente de postgrado de la Asociación Odontológica Argentina y USAL.

Guillermo Adrián Rodríguez. Ex Titular de las Cátedras Técnica de Operatoria, Clínica Preventiva, Cariología y Clínica Integrada A; Facultad de Odontología de la Universidad Maimónides, Buenos Aires. Especialista en Implantología y Endodoncia.

Pablo Agustín Varas. Especialista en Prostodoncia; y en Operatoria y Estética Dental, FOUBA. Jefe de Trabajos Prácticos de la Cátedra de Odontología Integral Adultos; Facultad de Odontología, UBA. Prof. Adjunto, Cátedra de Operatoria Dental, Pontificia Universidad Católica Argentina.

Nota Editorial

Fecha de publicación de los artículos del libro "Estética y blanqueamiento dental en la era digital".

Agosto 5.   Capítulo 1. Características estéticas del color dental

Agosto 12. Capítulo 2. Las alteraciones del color dental

Agosto 19. Capítulo 3. Agentes blanqueadores y mecanismos de acción

Agosto 26. Capítulo 4. El blanqueamiento externo de dientes

Septiembre 2. Capítulo 5. El blanqueamiento externo profesional

Septiembre 9. Capítulo 6. La técnica de la microabrasión

Septiembre 16. Capítulo 7. El blanqueamiento interno de dientes no vitales

Septiembre 23. Capítulo 8. El blanqueamiento de dientes calcificados

Septiembre 30. Capítulo 9. El aclaramiento cosmético y su mantenimiento

Octubre 7. Capítulo 10. Efectos de los peróxidos en los tejidos dentarios y biomateriales

Octubre 14. Capítulo 11. Blanqueamiento e hipersensibilidad dentinaria

Octubre 21. Capítulo 12. El Diseño Digital de la Sonrisa

Octubre 28. Capítulo 13. Los cambios de la Odontología Digital

Noviembre 4. Capítulo 14. La confección de carillas estéticas de cerámica

Noviembre 11. Capítulo 15: El aclaramiento dental durante la Ortodoncia

Noviembre 18. Capítulo 16. Blanqueamiento y Ortodoncia con alineadores

Noviembre 25. Capítulo 17. El blanqueamiento como parte de la rehabilitación integral

Diciembre 2. Capítulo 18. Comunicación y marketing de la estética dental

Diciembre 9. Capítulo 20. Consideraciones legales del blanqueamiento

Diciembre 16. Capítulo 21. La Inteligencia Artificial en la odontología estética

 

 

 

 

 

Nota editorial:

NOTA: Este resumen se publica con la autorización de la editorial del libro. Hacer clic aquí para adquirir el libro Estética y blanqueamiento dental en la era digital”.

 

MAS SERIES DE ARTICULOS

 

• Edición Especial sobre Odontogeriatría
• Edición Especial sobre Láser en Odontología
• Edición Especial sobre Cirugía Piezoeléctrica

 

Temas:
To post a reply please login or register
advertisement
advertisement