Search Dental Tribune

El futuro de las impresiones dentales reside en la integración de técnicas

El Dr. Rafael Mejicano Díaz da instrucciones al equipo de trabajo para tomar impresiones digitales. Fotos: Centro Dental Multimédica

dom. 1 febrero 2026

guardar

El presente artículo analiza la evolución de las impresiones dentales, la integración de registros análogos y digitales, y el valor de la fotografía clínica como complemento diagnóstico y comunicacional. Asimismo, se plantea el rol de la Ingeniería en Odontología como disciplina orientadora del ecosistema digital, dirigida a mejorar la precisión clínica y el bienestar integral del paciente.

Las impresiones dentales constituyen un elemento fundamental en el diagnóstico y tratamiento odontológico. Tradicionalmente realizadas mediante técnicas análogas, éstas presentan limitaciones relacionadas con la precisión, la experiencia del operador y la tolerancia del paciente. La incorporación del escaneo intraoral, la radiografía digital tridimensional (CBCT) y la fotografía clínica intraoral y facial han transformado de manera sustancial el registro de datos diagnósticos, permitiendo una representación más fiel de las estructuras dentofaciales.

Impresiones analógicas con alginato.

 

La obtención de registros clínicos precisos constituye un requisito indispensable para el éxito de los tratamientos odontológicos. Durante décadas, las impresiones dentales análogas han sido el método estándar para reproducir las estructuras orales; sin embargo, su exactitud depende de múltiples variables técnicas y biológicas que pueden comprometer el resultado final1.

 

El futuro de las impresiones dentales es una integración de técnicas para obtener diagnósticos más precisos, tratamientos personalizados y mejores resultados clínicos y estéticos.

 

En las últimas décadas, el desarrollo del escaneo intraoral y de la radiografía digital tridimensional ha ampliado significativamente las posibilidades diagnósticas. A estas herramientas se ha sumado la fotografía digital intraoral y facial, la cual aporta información morfológica, cromática, estética y funcional que no siempre es evidente en los modelos tridimensionales aislados2. La integración de estos registros permite una visión global del paciente, facilitando diagnósticos más completos y una planificación terapéutica individualizada.

Escaneo intraoral del paciente.

 

Materiales y métodos

Se realizó una revisión narrativa de la literatura científica indexada en PubMed, Scopus y SciELO sobre impresiones dentales análogas, escaneo intraoral, radiografía CBCT y fotografía clínica en odontología. Asimismo, se revisaron publicaciones relacionadas con flujos de trabajo digitales integrados y documentación clínica estandarizada. Se incluyeron estudios que evaluaran precisión, reproducibilidad, aplicaciones clínicas y comunicación interdisciplinaria.

Equipo de tomografía (CBCT) que se utiliza en Centro Dental Multimédica.

 

Resultados

Impresiones análogas y escaneo intraoral

Las técnicas de impresión análogas continúan siendo ampliamente utilizadas en la práctica clínica; no obstante, presentan limitaciones técnicas y biológicas relacionadas con la manipulación del material, la formación de burbujas, la deformación y la respuesta del paciente3. El escaneo intraoral ha demostrado mejorar la comodidad del paciente y la precisión del registro, siempre que sea utilizado dentro de un flujo digital adecuado y por personal capacitado4.

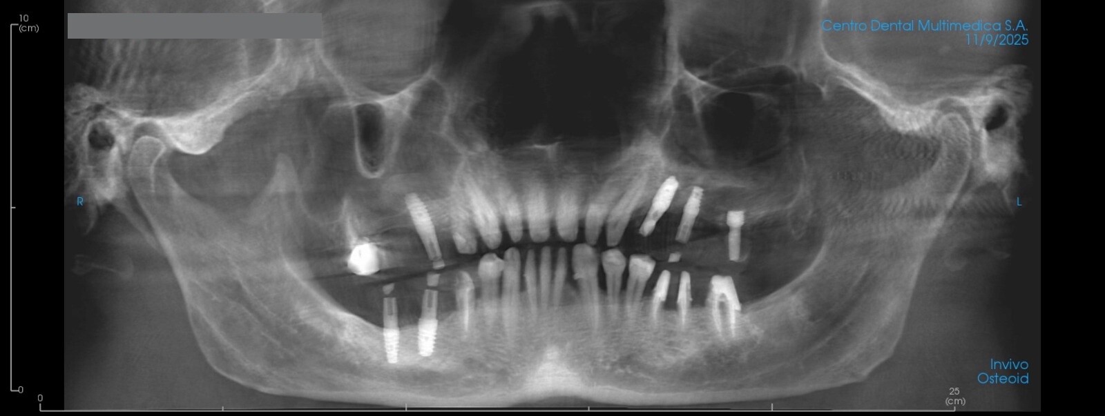
Reconstrucción digital de una tomografía dental en formato de 12 x 18.

 

Radiografía digital tridimensional

La radiografía digital tridimensional (CBCT) aporta información volumétrica ósea indispensable para la planificación implantológica, quirúrgica y ortodóncica avanzada. Su integración con modelos digitales permite una evaluación tridimensional más precisa de las relaciones anatómicas5.

Radiografía lateral de cráneo de una reconstrucción con grafeno.

 

Fotografía digital intraoral y facial

La fotografía clínica intraoral y facial complementa los registros tridimensionales al aportar información esencial relacionada con:

 

Color y textura dental

Análisis estético facial y de la sonrisa

Evaluación de tejidos blandos

Documentación objetiva del estado inicial y de los resultados finales.

 

Radiografía panorámica hecha de una reconstrucción de una tomografía dental.

 

La combinación de fotografía intraoral, fotografía facial, escaneo intraoral y CBCT permite construir modelos diagnósticos integrados, incrementando la exactitud clínica y mejorando la comunicación con el laboratorio dental y con el paciente6.

 

La fotografía digital intraoral y facial no debe considerarse un elemento accesorio, sino un componente diagnóstico esencial del flujo digital moderno.

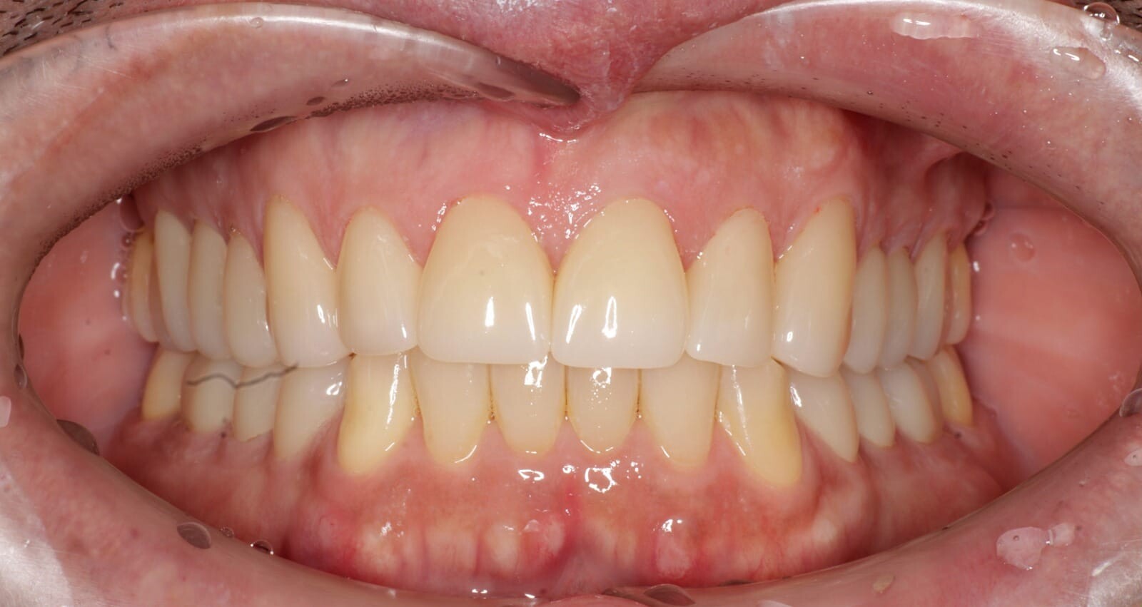
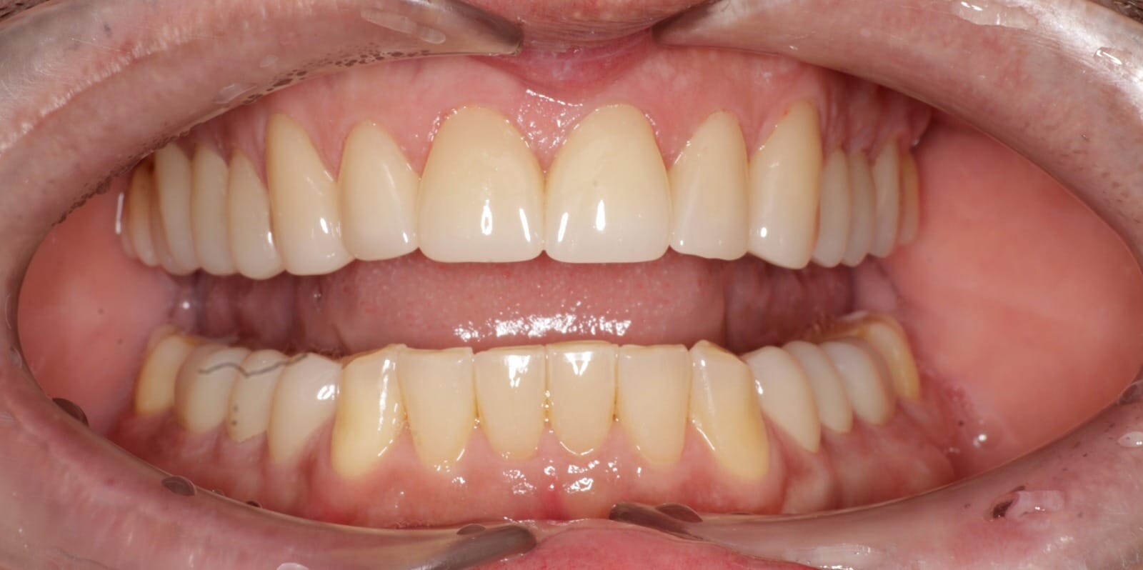
Fotografía digital intraoral de una reconstrucción de zirconia.

 

Discusión

La fotografía digital intraoral y facial no debe considerarse un elemento accesorio, sino un componente diagnóstico esencial del flujo digital moderno. Su correcta estandarización en términos de posición, iluminación, escala y angulación permite correlacionar información estética, funcional y estructural con los modelos digitales y radiográficos, fortaleciendo el proceso diagnóstico y terapéutico.

Fotografía intraoral a boca cerrada de una reconstrucción de zirconia de todas las piezas posteriores y de las áreas posteriores inferiores.

 

La integración efectiva de estos registros exige criterios técnicos claros, interoperabilidad entre sistemas y personal adecuadamente capacitado. En este contexto, la Ingeniería en Odontología se posiciona como una disciplina clave para establecer protocolos, estándares de calidad y flujos de trabajo integrales, evitando una digitalización fragmentada o meramente comercial, y orientando la tecnología hacia un beneficio clínico real.

Reconstrucción de una tomografía del maxilar superior.

 

Conclusiones

El futuro de las impresiones dentales no se limita al reemplazo de técnicas análogas por métodos digitales, sino a la integración sistemática de impresiones convencionales, escaneo intraoral, radiografía CBCT y fotografía clínica intraoral y facial. Este enfoque multidimensional permite diagnósticos más precisos, tratamientos personalizados y mejores resultados clínicos y estéticos.

La correcta implementación de este modelo requiere formación especializada, equipamiento compatible y lineamientos técnicos claros. La Ingeniería en Odontología surge como una respuesta estructural para ordenar este proceso y garantizar que la tecnología se utilice de manera responsable, eficiente y centrada en el bienestar del paciente.

 

Referencias

  1. Goldstein RE, Chu SJ, Lee EA, Stappert CFJ. Esthetic dentistry. 3rd ed. Hoboken: Wiley Blackwell, 2018.
  2. Coachman C, Calamita MA. Digital Smile Design: a tool for treatment planning and communication. J Esthet Restor Dent. 2012;24(2):75-84.
  3. Donovan TE, Chee WW. A review of contemporary impression materials and techniques. Dent Clin North Am. 2004;48(2):445-470.
  4. Mangano FG, Hauschild U, Veronesi G, Imburgia M, Mangano C, Admakin O. Trueness and precision of intraoral scanners. J Dent. 2017;62:82-91.
  5. Scarfe WC, Farman AG. What is cone-beam CT and how does it work? Dent Clin North Am. 2008;52(4):707-730.
  6. Joda T, Ferrari M, Brägger U. Digital technology in fixed prosthodontics. Periodontol 2017;73(1):178-192.

 

Autor

El doctor Rafael Mejicano Díaz, MSc, Ph.Hc., Especialista en Prótesis Oral, es Director Clínico, de Investigación y Estrategia en Centro Dental Multimédica de Guatemala.

 

ARTICULOS RECOMENDADOS 

_______________________________________________________________________________________________________________________________

GESTION DE LA CLINICA

Cómo fijar precios en Odontología 

Juan Carlos Mejía Ossa 

VER MAS

_______________________________________________________________________________________________________________________________

ORTODONCIA

Sobre los biotipos faciales

David Suárez Quintanilla

VER MAS

 

_______________________________________________________________________________________________________________________________

FORMACION - EDICION ESPECIAL

Nuevas tecnologías en las clínicas universitarias

Varios autores

VER MAS

_______________________________________________________________________________________________________________________________

GESTION DE LA CLINICA

Marketing del Deseo

David Suárez Quintanilla y Pedro Suárez Suquía

VER MAS

_______________________________________________________________________________________________________________________________

CIRUGIA ORAL

Todo lo que necesita saber sobre Cirugía Piezoeléctrica

José Rosas Díaz

VER MAS

_______________________________________________________________________________________________________________________________

CLINICA

La gran estafa de la Odontología Holística

David Suárez Quintanilla

VER MAS

_______________________________________________________________________________________________________________________________

ESTETICA

La belleza dental a través de la historia 

Javier de Pisón

VER MAS

_______________________________________________________________________________________________________________________________

NUEVAS TECNOLOGIAS

Manual de IA en Odontología

Javier de Pisón

VER MAS

_______________________________________________________________________________________________________________________________

 

 

Temas:
To post a reply please login or register
advertisement
advertisement