Search Dental Tribune

El 72% de los adultos mayores presenta recesión gingival

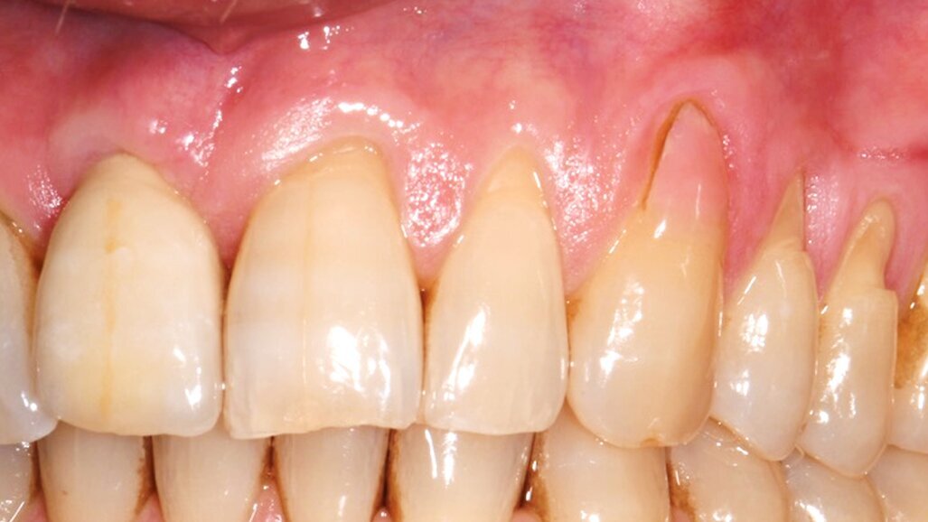
La recesión gingival deja expuesto el cuello y la raíz del diente, lo cual puede causar sensibilidad destinaría. Foto: DT Latin America

Las causas de la retracción de las encías son la edad, un cepillado dental agresivo, tener maloclusión, llevar una prótesis mal ajustada, padecer periodontitis y ser fumador.

La recesión gingival es un problema común de salud bucodental que puede afectar negativamente a la calidad de vida de quienes lo padecen. También conocida como encías retraídas, se trata de una patología que se caracteriza por una retracción de la encía de su zona habitual —el límite de la corona y la raíz del diente--, dejando expuesta una parte de la raíz.

“Cuando se produce en los dientes anteriores, además de suponer un problema estético por la sensación de alargamiento dentario, la recesión gingival constituye un problema clínico importante debido a la pérdida de inserción de la raíz en el hueso. Es más, muchas veces no solo se desplaza la encía, también lo hace el hueso que soporta al diente, provocando una movilidad anómala de éste y, en ocasiones, su pérdida”, explica el Dr. Óscar Castro Reino, presidente del Consejo General de Dentistas.

Causas de la retracción de encías

La etiología de la recesión gingival es multifactorial:

-La edad: aunque puede darse en cualquier etapa, es más frecuente a partir de los 40 años. De hecho, en la última encuesta epidemiológica de salud oral realizada en España en 2020, el 60% de los adultos jóvenes (de 35-44 años) y el 72% de los adultos mayores (de 65-74 años) presentaba algún grado de recesión gingival.

-Cepillado agresivo o incorrecto: el uso de cepillos de cerdas duras y los movimientos bruscos pueden desgastar el tejido gingival. Es la principal causa de retracción de encías en los pacientes jóvenes.

-Maloclusión y dientes no alineados: la posición inadecuada de los dientes puede aumentar la presión sobre las encías, favoreciendo la retracción.

-Enfermedad periodontal: la gingivitis y la periodontitis son enfermedades que afectan las encías y los tejidos de soporte dental, contribuyendo a la recesión. Es el primer motivo de retracción gingival de los adultos mayores.

-Prótesis mal ajustada: puede generar inflamación crónica y recesión de las encías. Solución: habría que quitarla, proceder a una higiene profunda y colocar una nueva

-Factores genéticos: algunas personas pueden tener predisposición genética a desarrollar recesión gingival.

-Tabaquismo: la recesión gingival es una de las primeras alteraciones periodontales que aparecen en el fumador.

Consecuencias y tratamiento

La recesión gingival  puede tener consecuencias negativas para la salud bucodental. El Dr. Castro señala que “los pacientes con esta patología desarrollan sensibilidad dental y son más propensos a la caries debido a la exposición de las raíces dentales”.

En cuanto al tratamiento, una vez que la encía se ha retraído es muy difícil que regrese a su posición original, salvo en casos muy leves e iniciales en los que se elimina rápidamente la causa que provocó el problema, como un mal cepillado. “En casos más avanzados será preciso recurrir a la llamada cirugía mucogingival para reparar y cubrir las áreas afectadas. Los procedimientos más habituales en estos casos son los injertos o los colgajos”, detalla el Dr. Castro.

De nuevo, el presidente del Consejo General de Dentistas insiste en que es fundamental acudir regularmente a revisión odontológica para que el dentista pueda detectar a tiempo cualquier patología. “La prevención y el tratamiento adecuado en fases tempranas son fundamentales para evitar complicaciones en el futuro”., concluyó el Dr. Castro.

Más artículos sobre el tratamiento odontológico de los pacientes adultos mayores:

El arte y la ciencia de la Odontogeriatría (1)

La Odontogeriatría o Gerodontología es la especialidad de la odontología que se enfoca en el cuidado bucodental de las personas mayores. A medida que la población envejece, es cada vez más importante que los profesionales de la salud dental comprendan las necesidades únicas de este grupo de pacientes y estén preparados para ofrecerles una atención personalizada de calidad.

Gerodontología para el paciente vulnerable (2)

Belisa Olmo y Manuel Ribera abordan el tratamiento de pacientes que sufren de enfermedades crónicas, necesitan recibir atención en su domicilio o están institucionalizados.

El deterioro rápido de la salud oral en los adultos mayores (3)

Leonardo Marchini explica el tratamiento adecuado para los pacientes adultos mayores que padecen un deterioro rápido de la salud bucodental. 

Elaboración de protésis removibles en ancianos (4)

Rosa Moreno López, Vicedecana de Educación del Instituto de Odontología de la Universidad de Aberdeen, ofrece  un protocolo para la elaboración de prótesis parciales removibles, una alternativa de tratamiento para los pacientes que no pueden permitirse rehabilitaciones con prótesis fijas.

Impacto del envejecimiento en la salud oral (5)

Fuensanta López y Susana Martínez afirman que el envejecimiento de la población es el fenómeno de mayor impacto del siglo XXI. Como tal, está poniendo a prueba los sistemas de protección social y atención de la salud, que son esenciales para mantener la calidad de vida de las personas mayores. A su vez, dicen, el aumento de la demanda de servicios de salud para este grupo de población puede llevar a la creación de millones de puestos de trabajo en una década.

Fitoterapia en la tercera edad (6)

La Dra. Claudia V. Elena describe en este artículo el valor terapéutico de algunas plantas para el tratamiento de los efectos en la salud oral de enfermedades como la diabetes tipo 2 y la hipertensión.

Tratamiento preventivo en el paciente mayor (7)

El paciente adulto mayor requiere una exhaustiva higiene oral y periodontal para evitar la pérdida de dientes comprometidos. La periodicidad de la profilaxis y las revisiones necesaria dependen del diagnóstico.

Relación entre enfermedad periodontal y sistémica en el adulto mayor (8)

Este artículo explica que es de vital importancia explicarle al paciente adulto mayor que la higiene oral y el tratamiento periodontal pueden reducir la incidencia de problemas cardiacos y accidentes cerebrovasculares.

Lesiones de la mucosa oral en pacientes ancianos (9) 

Las autoras de este artículo realizan una minuciosa descripción de las lesiones de la mucosa oral que afectan a los pacientes mayores y describen sus causas y sus formas de tratamiento.

Xerostomía: repercusiones en tratamiento dental (10)

Es necesario que el odontólogo sepa reconocer los signos y síntomas de la sequedad bucal o xerostomía, ya que afecta gravemente la salud y la calidad de vida de las personas mayores.

La sedación consciente en el adulto mayor (11)

Los autores explican que en la sedación consciente en el adulto mayor compuestos como el óxido nitroso disminuyen el estrés en el paciente y mejoran su cooperación durante el tratamiento dental.

La cirugía bucal en el paciente adulto mayor (12)

Las diferencias a nivel quirúrgico que afectan al paciente adulto mayor deben ser conocidas tanto médicos como odontólogos para poder tratar adecuadamente a esta creciente población.

To post a reply please login or register
advertisement
advertisement